您即將進入之新聞內容 需滿18歲 方可瀏覽。
鈣化性肌腱炎 手一抬舉就痠痛
文/謝霖芬
一般民眾都知道腎臟、輸尿管會結石,但卻很少人知道肩膀的肌腱也會長石頭。當肩膀的肌腱因受傷或其他不明原因,使得肌腱的形態發生變化,逐漸地引起鈣化物的沉澱,就像腎臟、膽囊的結石一樣,醫學上叫做「鈣化性肌腱炎」,其中最常見的是棘上肌肌腱的鈣化。
肩膀肌腱鈣化最常見的症狀是肩膀抬舉時會痠痛,尤其是側抬時更明顯,有時抬到一半時,好像被卡住,但是再往上抬又沒問題。患者也常抱怨肩膀活動時總是卡卡的,且有「沙沙」聲,也使不上力。有些還會伴隨五十肩或滑液囊炎,造成日常生活的困擾。
醫師在門診檢查時,除了詢問肩膀痠痛相關病史外,還會檢查肩膀的活動範圍,及在何種角度時會引起疼痛。其次是測試肩膀附近肌肉、肌腱的力氣。有時還會檢查頸椎,因為頸椎(如骨刺或軟骨突出)也可能造成肩痛。
需借助影像檢查揪問題
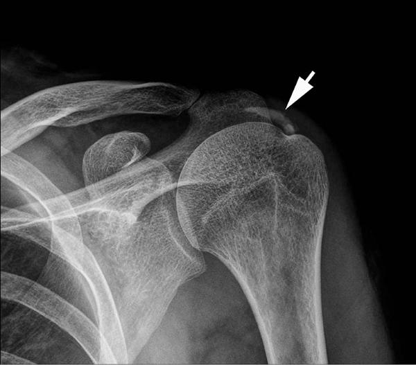
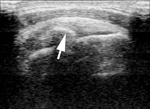
從上述的身體檢查,大致可推斷哪一條或哪幾條肌腱有問題,但要確定是否有鈣化性肌腱炎,需借助於影像檢查,如一般X光(圖1)、超音波(圖2)或磁振造影檢查。
治療包括藥物、復健(物理治療)、震波治療、穿刺或抽吸、手術等。藥物治療的目的是止痛及消炎;復健除止痛外,還會強調肌肉、肌腱的訓練,及改善肩關節活動度;震波治療(圖3)類似泌尿科的體外碎石術,利用體外瞬間產生的巨大能量波,將鈣化物破壞,並促使周遭的組織產生新生血管,加速鈣化物的排除及身體修復。
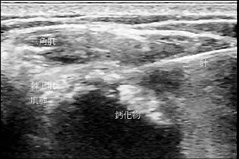
穿刺或抽吸是在超音波的導引下,使用18至22號針頭多次穿刺或抽吸鈣化物,以加速鈣化物的排除(圖4)。
在穿刺和抽吸的過程為了減輕患者的疼痛,往往會注射一些消炎止痛劑。有些學者的研究發現,合併震波與穿刺治療的效果,優於單一治療。極少數的患者或因鈣化物太大,或因對前述非手術療法反應不佳,需使用手術方法清除鈣化物。
「鈣化性肌腱炎」若不積極處理,往往會產生一些後續的問題,如肌腱破裂、滑液囊炎、五十肩及退化性肩關節炎等,因此建議患者儘速就醫。
(作者為新光醫院復健科主任)
發燒新聞




