自由電子報
健康醫療
健康首頁
新聞現時批
醫療急先鋒
名醫專家
名人健康事
抗老養生
男女老幼
傷病癌症
心理精神
護眼顧齒
自由健康粉絲團
自由影音
即時
熱門
政治
軍武
社會
生活
健康
國際
地方
蒐奇
財富自由
財經
娛樂
藝文
汽車
時尚
體育
3 C
評論
玩咖
食譜
地產
專區
服務
自由電子報 APP
自由電子報粉絲團
自由電子報 Line
自由電子報 X
熱門新訊
即時
熱門
政治
財富自由
軍武
社會
生活
健康
國際
地方
蒐奇
影音
財經
娛樂
汽車
時尚
體育
3 C
評論
藝文
玩咖
食譜
地產
求職
新聞現時批
即時新聞
藥品資訊
食安毒物
醫政健保
新知傳真
謠言終結站
醫療急先鋒
名醫專家
名醫開講
專家解析
醫訊新書
名人健康事
抗老養生
樂活飲食
皮膚醫美
減重塑身
運動復健
中醫藥
男女老幼
銀髮長照
婦兒親子
兩性生殖
傷病癌症
癌症腫瘤
疫病疫苗
三高慢性病
外傷
心理精神
護眼顧齒
Search
手持電扇恐傷眼 網紅醫提醒:別向臉吹
小心陽光殺手! 醫揭皮膚癌的3大類型與早期預警
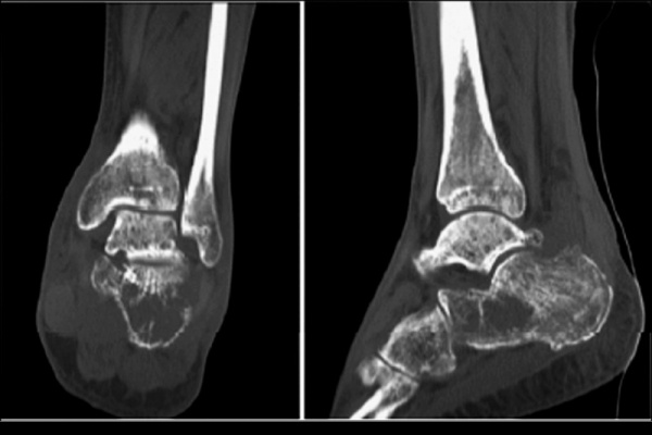
關節卡卡不只姿勢問題! 醫點名4大護骨食物
住哪裡真的會影響老化 研究:東亞人移居海外衰老較快
肥胖恐讓脂肪訊號入侵大腦 研究揭失智症新關聯
最新新聞
more
健康網》小心陽光殺手! 醫揭皮膚癌的3大類型與早期預警
健康網》關節卡卡不只姿勢問題! 醫點名4大護骨食物
持有電子煙比照吸食開罰 國健署擬修「菸防法」
健康網》50歲後最怕不是老 醫警:輕忽「這件事」恐讓失能提早找上門
健康網》高溫難熬 預防熱傷害很簡單
健康網》零卡飲料喝越多越想尿 醫揭1成分恐讓膀胱拉警報
夏季好健康
more
持有電子煙比照吸食開罰 國健署擬修「菸防法」
健康網》高溫難熬 預防熱傷害很簡單
健康網》手持電扇恐傷眼 網紅醫提醒:別向臉吹
台灣男性每3人中 2人有「夜尿」困擾!醫:恐增加跌倒與骨折風險
與藥師做朋友
more
與藥師做朋友》活化免疫力!喝對茶強化防護
與藥師做朋友》銀髮族顧腦有撇步 核桃志苓南瓜粥護腦力不退化
與藥師做朋友》凍齡女神養成術 纖潤嬌顏甜湯養出好氣色
與藥師做朋友》不老男神體力祕訣 鎖住青春享受幸福
健檢好好看
more
健檢好好看》血壓這樣量更正確 專家談高血壓警訊
健檢好好看》評估腎臟健康2指標:eGFR與尿蛋白
健檢好好看》「肌酸酐」見紅字 營養師3步拆解調整
健檢好好看》男人專屬問題「攝護腺」 PSA檢驗一次看懂
搶救少子化
more
人工生殖補助加碼!明年1月上路 估1年29億助近5千人次
健康網》醫:「不婚不生」可以 嘲笑生育者不行!
台灣已沒人可請!外籍幫傭新制門檻下修 醫界:少子化救星
屏縣推幼兒專責醫師制度 涵蓋率逾95%
長照3.0
more
綠能企業送暖枋寮養護中心 捐坐洗椅減輕照護負擔
北榮鳳林分院「頤園住宿長照機構」 今開幕
「提早出院模式」5月上路 感染症返家也可施打抗生素
健康網》臨終前8年恐臥床 專家:你要活著還是躺著
透視腸道菌
more
透視腸道菌》腸道「地圖」 2特徵超強 不單是消化吸收器官
透視腸道菌》腸炎加劇合併焦慮、憂鬱 1雌激素受體可望有解
透視腸道菌》肝臟受損連動2處 恐步步走向肝纖維化
透視腸道菌》牛乳中有玄機 有1物可護腸道健康
抗病護免疫
more
阻斷水溝孳生登革熱病媒蚊 高市教「一桶水防治法」
腸病毒疫苗太貴!雲林議員喊補助弱勢 縣府將推3大疫苗免費接種
健康網》「艾蜜莉在巴黎」男星漸凍症驟逝 醫警:50歲後出現3症狀別輕忽
伊波拉疫情延燒!我國升級非洲2國旅遊警示至第三級 返台須自主健康管理21天
防癌全攻略
more
健康網》小心陽光殺手! 醫揭皮膚癌的3大類型與早期預警
元凶不是累!莫名痠痛、泌尿道反覆結石 竟罹萬分之2.5腫瘤
健康網》吃鍋1習慣恐傷食道 醫曝零成本防癌法:別省關鍵3分鐘
癌細胞還沒消滅免疫細胞先累了 研究找到CAR-T「疲乏開關」
頭頸部疾病
more
健康網》手持電扇恐傷眼 網紅醫提醒:別向臉吹
健康網》伊波拉疫情升溫!初期症狀酷似感冒 致死率最高達恐9成
健康網》比記憶衰退早一步! 醫揭走路出現1狀況恐是失智警訊
照護學童口腔健康 高屏10所偏鄉小學獲贈牙科診療設備
心胸肺疾病
more
持有電子煙比照吸食開罰 國健署擬修「菸防法」
低劑量電腦斷層不只抓肺癌 台中榮總AI揪出心血管風險
研究:加工食品防腐劑 可能增加心血管疾病風險
心臟病、中風救星來了?新型強效藥物有望明年問世!
肝膽腸胃疾病
more
童年常吃炸雞甜食長大難戒 研究揭大腦可能記住高熱量偏好
腸病毒疫苗太貴!雲林議員喊補助弱勢 縣府將推3大疫苗免費接種
健康網》隋棠急性腸胃炎緊急入院! 醫:高燒腹痛4警訊別拖 嚴重恐致命
長輩用藥需注意!藥師示警:「多重用藥」藏5大隱憂
泌尿/腎臟/生殖疾病
more
健康網》零卡飲料喝越多越想尿 醫揭1成分恐讓膀胱拉警報
台灣男性每3人中 2人有「夜尿」困擾!醫:恐增加跌倒與骨折風險
健康網》別信「吃藥壞腎」說詞 醫:不吃藥才會走向洗腎!
勃起功能障礙年輕化 「晨勃變少」持續1個月快檢查
內分泌/新陳代謝
more
健康網》楊繡惠母急診驚魂!長輩「吃錯藥」超危險 用藥3原則
健康網》減重不吃油、澱粉恐踩雷! 營養師揭復胖真相
健康網》蛋白質吃錯難增肌 營養師點名3族群別靠飯麵補
健康網》攝護腺肥大不一定是老化! 醫揭「這飲食」讓風險飆
骨骼/脊椎疾病
more
健康網》關節卡卡不只姿勢問題! 醫點名4大護骨食物
健康網》50歲後最怕不是老 醫警:輕忽「這件事」恐讓失能提早找上門
照護員每日幫植物人翻身數十次 獲贈電動設備解除勞力負荷
健康網》「艾蜜莉在巴黎」男星漸凍症驟逝 醫警:50歲後出現3症狀別輕忽
皮膚/免疫疾病
more
健康網》小心陽光殺手! 醫揭皮膚癌的3大類型與早期預警
阻斷水溝孳生登革熱病媒蚊 高市教「一桶水防治法」
孫淑媚凍齡》大方認了打電音波 醫示警「這些人」別冒進
孫淑媚凍齡》膠原蛋白吃對差很大 專家曝30歲後流失4關鍵
身心/精神科
more
肥胖恐讓脂肪訊號入侵大腦 研究揭失智症新關聯
孩子總是坐不住、常分心?醫師教你分辨活潑調皮與ADHD
正向生活 39歲失智 王牌業務13年演講逾千場
研究證實「爸爸腦」是真的 男人當爸後大腦真的會改變
抗老養生
more
健康網》關節卡卡不只姿勢問題! 醫點名4大護骨食物
健康網》50歲後最怕不是老 醫警:輕忽「這件事」恐讓失能提早找上門
漫長復健遇撞牆期 部立新營醫院導入經皮雷射光療助攻復健
健康網》吃鍋1習慣恐傷食道 醫曝零成本防癌法:別省關鍵3分鐘
1顆粽子相當1個小便當 基隆醫院研發健康高纖粽
醫療急先鋒
more
口腔癌年增8000人 重症手術仰賴口腔顎面外科
醫療急先鋒》特需牙醫人才荒!羅文良服務特需者超過30年
超高齡化社會來臨!牙醫盼強化特需人才培育
醫療急先鋒》特需牙醫日常 蔣孟玲:「每一次看診,都是一場挑戰與感動」
溫柔守護屏東婦嬰40年 婦產科名醫吳蘭香癌逝
名醫專家
more
蕭相如
高中生耳鳴感覺樂音走調 罕見「腦血管畸形」作祟
徐幼鈞
攝影師手指麻木 肘隧道症候群作祟
趙家儀
秋冬小兒「腸胃型感冒」中醫證型分治增強免疫力
中醫藥
more
治不孕邁向精準醫學 南市醫全球首創孕率預測模型入國際期刊
健康網》壓力釀健康失衡 中醫談3大失衡狀態
健康網》「小滿」逢梅雨季 中醫這樣防「暑濕」
一吃就跑廁所? 中醫:小滿時節 濕困脾胃作祟
小滿迎夏濕氣爆發! 中醫曝「一吃就跑廁所」恐是脾虛警訊
名人健康事
more
健康網》「艾蜜莉在巴黎」男星漸凍症驟逝 醫警:50歲後出現3症狀別輕忽
健康網》劉至翰驚傳動刀! 青光眼不是長者專屬 醫曝7危險因子
健康網》隋棠急性腸胃炎緊急入院! 醫:高燒腹痛4警訊別拖 嚴重恐致命
健康網》楊繡惠母急診驚魂!長輩「吃錯藥」超危險 用藥3原則
孫淑媚凍齡》大方認了打電音波 醫示警「這些人」別冒進
兩性生殖
more
健康網》零卡飲料喝越多越想尿 醫揭1成分恐讓膀胱拉警報
台灣男性每3人中 2人有「夜尿」困擾!醫:恐增加跌倒與骨折風險
健康網》別信「吃藥壞腎」說詞 醫:不吃藥才會走向洗腎!
勃起功能障礙年輕化 「晨勃變少」持續1個月快檢查
健康網》男性防早洩護性生活 醫:記得九淺一深
熱門關鍵字
健康網-夏季好健康
健康網-內分泌
健康網-防癌全攻略
健康網-心胸肺
失智
阿茲海默症
糖尿病
健康網-骨骼
血糖
血糖飆升
運動
馬英九槓親姐
熱門新聞
龍鳳胎才滿百日 42歲人氣牙醫猝逝 醫警:很多人心肌梗塞前沒症狀
馬英九現身駁失智 精神科醫師指言行「7大反常」
健康網》豆漿喝對才可保護攝護腺! 醫曝每日建議量
苗栗爆麻疹境外移入!確診女曾赴頭份 匡列112人監測
健康網》高血壓藥不是永遠停不了! 醫曝3關鍵 有機會成功停藥
傷病癌症
more
氣溫驟降醫院急診心血管疾病多近2成 醫生提醒「別忘喝水」
女性肺癌標準化發生率首度超過大腸癌 國健署明年擬有條件補助LDCT篩檢
健康網》5招打敗寒流! 營養師:吃「這4樣」身體自帶暖爐
健康網》冬令進補藥膳 全台社區藥局為民眾把關