-
健康網》腎上腺修復有4大核心 營養師曝3到12個月關鍵期
08:28 -
健康網》早餐總是吃不飽? 「高蛋白組合」4好處穩糖又增肌
07:28 -
健康網》地中海飲食該如何吃? 醫解析:從飲食比例抓重點
06:32 -
春節放假9天怕斷藥 健保慢箋首放寬「提早14天」領藥
05:30 -
孕媽咪也能安心飛 醫教「孕期出遊安全守則」
05:30 -
寒假危險性行為中鏢 高中生GG流膿紅腫「梅毒」上身
05:30 -
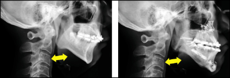
正顎手術 成功改善阻塞型睡眠呼吸中止症
05:30 -
健康網》男性小弟弟 心血管健康前哨站!醫示警3異狀
2026-01-16 -
健康網》睡滿8小時還是累?醫:粒線體罷工 補眠也沒用
2026-01-16 -
健康網》別用AI取代心理治療!網紅醫建議這樣用AI
2026-01-16
