限制級
您即將進入之新聞內容 需滿18歲 方可瀏覽。
根據「電腦網路內容分級處理辦法」修正條文第六條第三款規定,已於網站首頁或各該限制級網頁,依台灣網站分級推廣基金會規定作標示。 台灣網站分級推廣基金會(TICRF)網站:http://www.ticrf.org.tw
熟女反覆尿道感染 罕見「腎盞憩室結石」釀禍
記者翁聿煌/新北報導
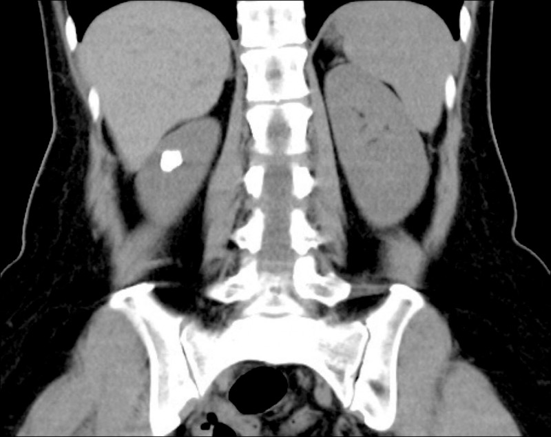
50歲田女士天生患有腎盞憩室並伴隨結石,近期頻繁泌尿道感染,嚴重影響生活品質,轉至大醫院檢查發現,田女士左側腎臟內約有1.5公分的結石群嵌在腎盞憩室中,而憩室與正常腎盞之間的通道僅不到1毫米,導致尿液排出不良並形成結石。
醫師採取雷射切開並擴大憩室的通道,接著以「負壓吸引鞘與軟式輸尿管鏡碎石手術」將結石擊碎,並同步吸出,放置雙J導管維持通暢直至傷口定型後取出,解決多年來的結石與反覆感染問題。
微創手術無痛取石
台北慈濟醫院泌尿科醫師鐘伯恩表示,腎盞憩室是1種較罕見的先天性腎臟結構異常,發生率約0.2%至0.6%,由於憩室內尿液排空較差,容易造成尿液滯留並形成結石。
此外,腎盞憩室與正常腎盞之間的通道較為狹窄,尿液容易在憩室內滯留,進而增加結石形成機會,部分患者因此會出現反覆泌尿道感染、血尿或腰部疼痛等症狀,若長期反覆感染未妥善治療,可能造成腎臟功能受損,甚至引發膿瘍或敗血症等嚴重併發症。
針對腎盞憩室結石的治療,傳統多採用經皮穿腎取石術(PCNL),需從背部切開傷口,並以粗度約1公分的導管穿刺進入腎臟取石,傷口較大、且因腎臟血流旺盛,出血風險相對較高,隨醫療技術進步,目前小於2-3公分的腎盞憩室結石可透過「負壓吸引鞘與軟式輸尿管鏡碎石手術」治療,是利用極細的軟式輸尿管鏡由尿道進入腎臟,配合高能雷射將結石擊碎並吸出,再視情況切開並擴大憩室通道洞口、避免尿液淤積,造成結石復發。
發燒新聞



