限制級
您即將進入之新聞內容 需滿18歲 方可瀏覽。
根據「電腦網路內容分級處理辦法」修正條文第六條第三款規定,已於網站首頁或各該限制級網頁,依台灣網站分級推廣基金會規定作標示。 台灣網站分級推廣基金會(TICRF)網站:http://www.ticrf.org.tw
甲狀腺手術後喘不過氣 「聲帶整形」恢復正常呼吸
記者張聰秋/彰化報導
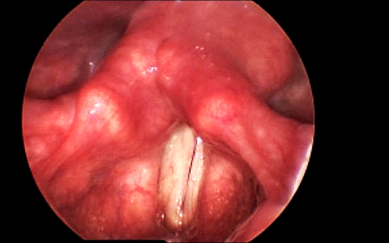
71歲婦人因雙側良性甲狀腺結節動手術後,卻出現宛如被鬼壓著喉嚨、喘不過氣的症狀,半年來持續發音無力與呼吸困難,連爬樓梯都很喘,經轉診到彰化基督教醫院接受聲帶雷射顯微整形手術,原本如「鬼壓喉」般的症狀隨即消失,順利吸到空氣,生活恢復日常。
彰基總院長陳穆寬說,患者曾接受甲狀腺手術,術後出現聲音無力、呼吸困難,並伴隨喘鳴聲,內視鏡喉部攝影檢查確定是雙側聲帶麻痺,因患者呼吸道阻塞,伴隨缺氧,院方施予聲帶雷射顯微整形手術,患者術後甦醒時,宛如鬼壓喉嚨的症狀立即消失,呼吸恢復順暢。
陳穆寬指出,正常情況下,雙側聲帶在發聲時閉合,呼吸時張開,讓空氣進入氣管;但患者雙側聲帶麻痺,聲帶無法正常運動,導致氣道狹窄,吸不到足夠空氣,才會出現嚴重喘鳴與呼吸困難症狀。
兼顧發音、呼吸、吞嚥 手術難度高
彰基智慧精準甲狀腺癌中心暨耳鼻喉頭頸外科主治醫師曾信嘉指出,控制聲帶運動的喉返神經直徑非常細小,約1至2毫米,左右各1條,在頸部下段時,距離甲狀腺較遠,往上走則逐漸靠近氣管與食道之間的溝槽,最後進入喉部控制聲帶活動,由於神經細小又緊鄰甲狀腺,甲狀腺手術中若不慎傷及單側神經,可能導致聲音沙啞;若雙側都受損,則會造成雙側聲帶麻痺,進而引發呼吸道阻塞,嚴重時甚至需要氣管切開術才能搶救生命。
曾信嘉指出,甲狀腺良性腫瘤手術造成雙側聲帶麻痺,屬於極罕見的嚴重併發症,發生機率低於1%;相較之下,單側喉返神經麻痺導致聲音沙啞的發生率約5%。一旦出現雙側聲帶麻痺,治療時不僅要兼顧發音功能,也必須維持呼吸道通暢與吞嚥功能,手術難度相當高,所幸這名患者經手術後恢復順利,生活也恢復正常。
發燒新聞


