肩膀痛到睡不著 超音波揪出肌腱撕裂
文/曾文哲
20多歲的陳小姐在上班途中不幸發生車禍,從機車上摔下來,之後肩膀疼痛難耐,角度跟活動也受限,晚上更痛到睡不著。發生車禍後,醫院急診有照X光,醫師說肩膀沒有骨折或脫臼,但她還是持續痛了好幾個月。
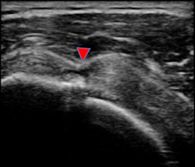
我在診間幫陳小姐掃軟組織超音波,發現她的右肩旋轉肌肌腱嚴重撕裂(圖1),所以造成疼痛,以及手舉不高等現象。
「旋轉肌」是控制肩膀活動的重要肌群,由數條肌肉以及韌帶所組成,當肌腱撕裂或斷裂時,肩膀活動角度就會受限,也會產生疼痛的情形。如果沒有積極治療,疼痛常常會拖超過1-2年,而且會留下手舉不起來、肩膀無力等後遺症。
未積極治療 恐有肩膀無力後遺症
由於發炎的關係,即使是睡覺,肩膀也會感到疼痛,特別是壓到患側肩膀時,因此病人晚上常常睡不好。另外由於肩膀活動角度受限,日常生活大受影響,例如洗澡、穿脫衣物、拿東西等都有困難。若能早期積極治療,可以減少疼痛的時間,更能避免後遺症。
診斷肩膀旋轉肌肌腱撕裂,除了詢問病史以及理學檢查外,最重要的診斷工具是軟組織超音波。X光是大家最熟悉的檢查,但除了骨折、脫臼等跟骨頭較相關的問題外,像肌肉、肌腱、韌帶等軟組織的問題,光憑X光並無法診斷出來。
◎肩膀旋轉肌肌腱撕裂怎麼治療?
●首先是復健治療,除了電療、熱療進行深層止痛之外,還可做徒手物理治療,以保持關節活動度、強化肌力。
葡萄糖增生療法、PRP 修復受傷組織
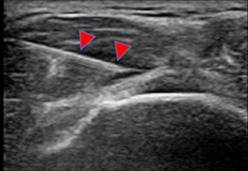
●進階的治療方式則包括高濃度葡萄糖增生療法(prolotherapy)以及高濃度自體血小板血漿(PRP)注射治療。兩者都是在超音波導引之下,將注射液打到肌腱撕裂的地方(圖2),讓受傷的組織進行修復。目前多個臨床醫學研究顯示療效不錯。
若肌腱完全斷裂或經保守治療後,症狀依然嚴重,就須開刀修補肌腱。若能及早治療,絕大多的病人在接受復健以及注射治療後症狀可大幅改善,因此千萬不要拖延就醫。
(作者為台大醫院雲林分院復健部主治醫師)
☆健康新聞不漏接,按讚追蹤粉絲頁。
☆更多重要醫藥新聞訊息,請上自由健康網。
熱門賽事、球星動態不漏接
發燒新聞












網友回應