您即將進入之新聞內容 需滿18歲 方可瀏覽。
台北慈濟醫院研究:LDCT篩出結節過半為惡性
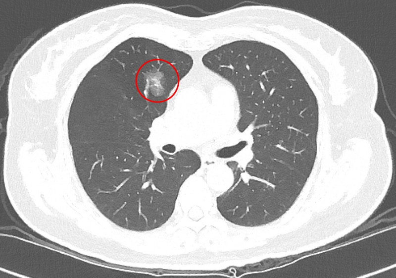
〔記者翁聿煌/新北報導〕隨著低劑量電腦斷層(LDCT)篩檢日益普及,越來越多民眾在健康檢查或就醫過程中發現肺部小結節,也讓「到底要不要立刻開刀」成為門診中常見疑問,台北慈濟醫院胸腔內科醫師吳智偉針對院內LDCT共6997名篩檢個案進行回溯性分析,結果發現手術切除的病灶中,有約3分之2被證實是惡性腫瘤,另外3分之1為良性腫瘤,由此可知小型肺部結節在影像判讀與切片診斷上極具挑戰,研究成果於今(2026)年元月獲國際期刊《International Journal of Medical Sciences》刊登。
吳智偉指出,肺癌發生率已居全國第一,影響因子包括抽菸、肺癌家族史及空氣污染等,但臨床上超過一半肺癌患者其實不抽菸,因此即使沒有抽菸習慣,也不能完全輕忽風險,近年政府積極推動低劑量電腦斷層篩檢,提升肺癌早期發現及治療的機會,針對肺部小結節,臨床上雖會依據大小、影像型態、生長狀況以及病人的臨床背景進行綜合判斷,但部分良性病灶在影像上與早期肺癌相似,有些早期惡性病灶則生長緩慢、不易立即判別。
以許女士為例,沒有抽菸習慣,也沒有肺癌家族史,卻在64歲健康檢查時,從低劑量電腦斷層(LDCT)檢查中發現1.2公分的肺部結節,之後持續在胸腔內科門診追蹤,7年後,許女士71歲時,結節增大至1.4公分,因為擔憂,她與醫師討論後轉至胸腔外科手術,病理結果確診為第一期肺腺癌,由於屬早期肺癌,術後不需化療,追蹤至今恢復良好,無併發症。
吳智偉說明,許多肺部結節通常需要追蹤很長的時間,才會有些微變化(1年約長大0.1cm),臨床上會根據變化的型態進一步評斷處置方式,極早期的結節因為太小,無法經由穿刺切片確認屬性,他提醒,發現肺結節不必過度恐慌,也不代表一定要立刻動刀,目前國內外的共識是以大小0.8公分作為最基礎的判斷準則,在困難判讀的情況下,建議須定期追蹤,若在追蹤期間出現變大或影像特徵改變,建議與醫師討論或進一步評估手術時機,通常會有機會在零期或第一期及早治療。
發燒新聞


