限制級
您即將進入之新聞內容 需滿18歲 方可瀏覽。
根據「電腦網路內容分級處理辦法」修正條文第六條第三款規定,已於網站首頁或各該限制級網頁,依台灣網站分級推廣基金會規定作標示。 台灣網站分級推廣基金會(TICRF)網站:http://www.ticrf.org.tw
5旬男血糖控制不佳 牙周病釀掉牙咀嚼困難
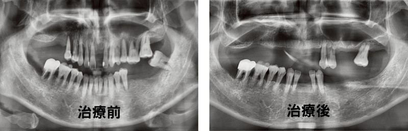
〔記者周敏鴻/桃園報導〕桃園市1名50多歲男性市民長期忽視牙周病,致牙齦腫脹疼痛,甚至掉牙造成咀嚼困難,聯新國際醫院牙科醫師吳欣哲診療後,發現該市民飯後血糖高達410mg/dL,顯示胰島素功能已失調,是「血糖控制不佳致牙周病機率提升」的典型病例。
吳欣哲以牙周探針、X光檢查該市民,發現牙齒搖度高,懷疑代謝系統異常而轉診,發現他飯後血糖遠高於標準值200mg/dL,吳欣哲說明,血糖控制不佳會讓牙周病機率提升2倍到3倍,加上有抽菸習慣更會風險拉升到4.6倍,後續安排該市民同步接受糖尿病、牙周病治療後,順利保住他的11顆牙,並於牙周病療程結束後進行假牙重建,恢復他的正常咀嚼功能。
該市民後續定期回診接受支持性治療,經5年追蹤,糖化血色素控制在7%以下、11顆牙狀況良好。吳欣哲說,牙周病治療結束後的支持性治療,是防範復發的關鍵,須定期回診才能徹底清除累積的結石與牙菌斑;牙周病患者完成基礎治療或手術後,若自覺症狀改善而忽略支持性治療,牙周病極有可能全面復發,甚至曾有患者7年後齒槽骨損毀程度更勝以往,結果只能拔牙與進行重建手術救治。
吳欣哲提醒,民眾常將牙齦流血、牙齒鬆動等狀況,誤認為「火氣大」或「自然老化」,若因而疏忽牙周病,牙周細菌不僅會侵蝕齒槽骨,更可能透過血液循環影響全身健康,不可輕忽。
發燒新聞



