您即將進入之新聞內容 需滿18歲 方可瀏覽。
台北醫院「血管內震波碎石術」完成逾17例高難度手術護心臟
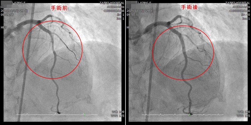
〔記者黃政嘉/新北報導〕衛生福利部台北醫院心臟內科於去(2025)年7月引進「血管內震波碎石術」(Intravascular Lithotripsy),提供民眾醫學中心等級的最新心臟醫療服務,大幅提升嚴重冠狀動脈鈣化病灶患者心導管手術的成功率與治療效果,至今已完成逾17例高難度冠狀動脈鈣化導管手術,展現心臟血管中心團隊在複雜高風險介入手術治療上的卓越技術。
衛福部台北醫院指出,血管內震波碎石術屬自費醫療,院內醫材約13萬元左右,技術費用目前有健保給付,病人可跟醫師諮詢,此項技術的導入,能有效降低病患血管損傷與破裂的風險。
台北醫院表示,1名近80歲的病人近期因胸口不適,檢查發現左前降支的前中段約有80%以上的狹窄病灶,且血管壁存在嚴重鈣化,最狹窄處呈現雙側鈣化,高度疑似環狀型鈣化病灶,屬於傳統氣球擴張成功率低、且血管傷害風險極高的困難病灶,經醫師與病人及家屬說明後,採用血管內震波碎石術,透過高能量震波選擇性擊碎血管壁內鈣化沉積,使血管恢復柔韌度,進而順利完成血管擴張與支架置放,成功完成複雜性高的冠狀動脈介入手術,病人術後恢復情況良好,胸口不適症狀也獲得明顯改善。
台北醫院心臟內科主任黃啟銘說,血管內震波碎石術是革命性的心導管治療方法,醫師透過專屬的球囊導管送入病灶位置,並在低壓下釋放高能量的聲波震動,類似體外碎石治療的概念,能選擇性擊碎血管壁內堅硬的鈣化沉積,讓原本如石頭般堅硬的血管重新變得柔韌,進而安全地完成氣球擴張與支架置放,最大特點在於「精準、低壓、安全」,只針對鈣化病灶發揮作用,避免對正常血管組織造成過度傷害,讓治療變得更為可行與穩定。
台北醫院使用血管內震波碎石術,成功協助多位高風險病人完成困難治療,院方指出,將持續引進國際最新的醫療科技,並結合臨床經驗與研究成果,提供民眾專業的心臟血管醫療服務。
發燒新聞




網友回應