限制級
您即將進入之新聞內容 需滿18歲 方可瀏覽。
根據「電腦網路內容分級處理辦法」修正條文第六條第三款規定,已於網站首頁或各該限制級網頁,依台灣網站分級推廣基金會規定作標示。 台灣網站分級推廣基金會(TICRF)網站:http://www.ticrf.org.tw
7旬翁車禍肋骨斷5根 意外發現罹肺腺癌
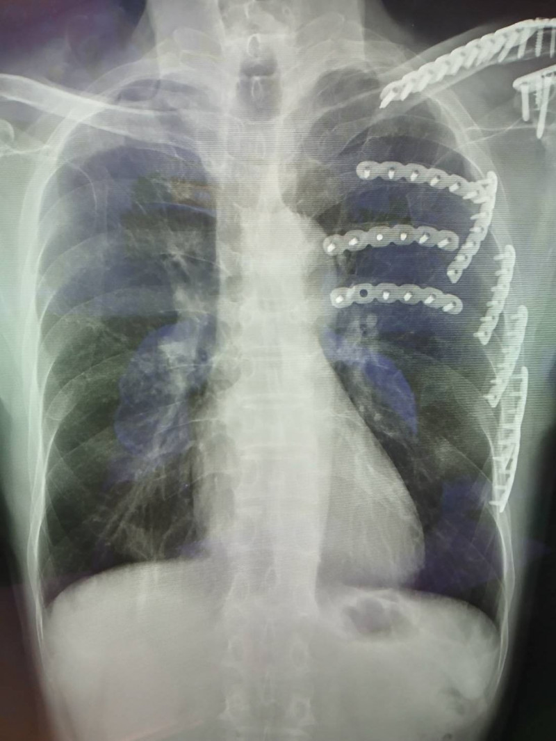
〔記者陳建志/台中報導〕因禍得福!70歲陳先生,日前因車禍導致嚴重的胸壁挫傷與多根肋骨骨折,送醫緊急接受「胸腔鏡輔助肋骨固定手術」,沒想到醫療團隊在檢視電腦斷層影像時,發現右下肺疑似有早期肺腺癌病灶,在肋骨傷勢復原後,立即安排微創手術切除肺部病灶,並確診為第1期肺腺癌,讓他慶幸有及早發現。
國軍台中總醫院胸腔外科主任謝志明指出,患者送醫時左側第3至7肋骨骨折合併血胸,呼吸極度困難,疼痛指數高達8分。傳統肋骨骨折多採不開刀保守治療,患者需忍受長達2至3個月的劇痛,若錯位嚴重甚至需半年才能癒合,且易引發肺炎、氣血胸等併發症。
經評估後,決定採用「胸腔鏡輔助肋骨骨折復位矯正鋼板內固定手術」,術後患者的疼痛指數迅速降至3分,呼吸困難明顯改善,也能順利咳痰與進行肺部復健,住院兩週即順利出院。
謝志明表示,醫療團隊在處理外傷的術前電腦斷層中,發現患者右下肺葉有疑似早期肺癌的毛玻璃樣病灶。待他肋骨傷勢穩定,3個月後回診追蹤時,檢查發現病灶依然存在。立即為他安排第2次「胸腔鏡微創手術」切除病灶,病理報告證實為肺腺癌第1期。
謝志明強調,肺癌早期幾乎無症狀,被稱為「隱形殺手」,若能在第1期發現,5年存活率高達9成以上,這名患者若非因車禍接受高階影像檢查,恐怕難以在早期發現病灶,可說是因禍得福。
謝志明表示,肺癌高居國人十大癌症死因首位,胸部X光難以發現1公分以下病灶,低劑量電腦斷層(LDCT)是目前唯一具實證的早期篩檢工具。提醒國健署針對具肺癌家族史者、重度吸菸者,這兩大高危險群提供公費補助篩檢,若發現病灶應遵循醫囑定期追蹤,一旦懷疑為早期肺腺癌,及早接受胸腔鏡微創手術是改善預後的關鍵。
發燒新聞




網友回應