限制級
您即將進入之新聞內容 需滿18歲 方可瀏覽。
根據「電腦網路內容分級處理辦法」修正條文第六條第三款規定,已於網站首頁或各該限制級網頁,依台灣網站分級推廣基金會規定作標示。 台灣網站分級推廣基金會(TICRF)網站:http://www.ticrf.org.tw
94歲嬤腹痛忍半年 就醫發現大腸腫瘤破裂
記者黃旭磊/台中報導
94歲吳阿嬤隱忍腹痛近半年不讓子女擔心,直到痛到無法走路,才在兒子陪同下看診,經查出大腸癌腫瘤破裂,隨時可能因敗血症而致命,所幸開刀切除受癌細胞侵犯大、小腸約60公分,術後恢復良好。
切除腸道60公分 恢復良好
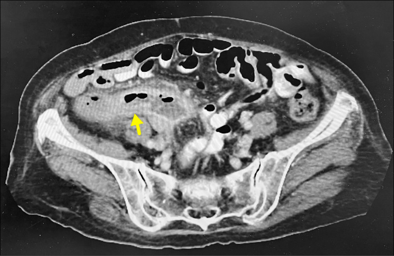
吳阿嬤去年以來右下腹常隱隱作痛,因不想給子女帶來麻煩,能忍就忍,直到上月痛到無法走路,兒子陪同至澄清醫院中港院區胃腸肝膽科門診,抽血檢查發現,血紅素掉到8.7(正常12-16)、白血球15900(正常1萬以下),再經腹部電腦斷層檢查,查出右下腹部有一大團約10公分大腫瘤,外形不規則狀確診大腸癌,並已破裂擴散。
阿嬤住院後,院方緊急會診大腸直腸外科醫師陳周誠,經緊急手術後,發現吳婦的右側大腸腫瘤約5.6公分大,腫瘤鑿穿大腸壁,溢出腫瘤物形成約4.9公分大破裂範圍,也侵犯到迴腸末段,經切除大腸癌患部5公分,受癌細胞侵犯的迴腸55公分,再將小腸和大腸精密吻合,築出新通道,維持腸道暢通。
醫療團隊指出,吳婦的大腸癌長在右側大腸最深處,在盲腸上方很不容易發現,因該段的大腸直徑較大,患者較難有異常感,因此阿嬤才感覺「悶悶隱痛」卻仍大便正常。
我國臨床醫學統計,大腸癌發生在左側大腸佔7成,在右側大腸佔3成,右側大腸癌較不易發現,而目前健保糞便潛血檢查方便,患者一旦發現糞便有潛血現象,一定要做腹部電腦斷層,才能找出癌蹤跡及早治療。
吳婦術後恢復良好,已返家休養數週,陳周誠指出,台灣邁入超高齡社會,代表每5人就有1位65歲長者,很多長者常隱忍病痛,怕帶給子女麻煩,再次呼籲「阿嬤不要忍痛啦」,應利用政府補助定期健康檢查,以便及早發現異狀,及早就醫。
發燒新聞


網友回應