限制級
您即將進入之新聞內容 需滿18歲 方可瀏覽。
根據「電腦網路內容分級處理辦法」修正條文第六條第三款規定,已於網站首頁或各該限制級網頁,依台灣網站分級推廣基金會規定作標示。 台灣網站分級推廣基金會(TICRF)網站:http://www.ticrf.org.tw
獨家》小二童長期眼癢揉眼 左眼瞼腫脹就醫驚見巨大疙瘩
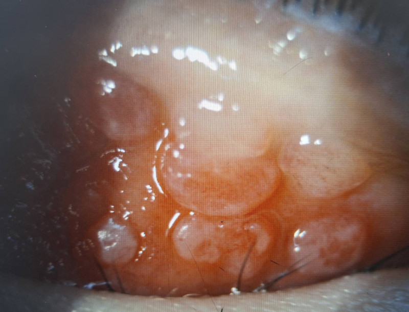
〔記者許麗娟/高雄報導〕1名國小二年級男童近半年來常覺得左眼非常癢而不斷眨眼、揉眼,近日左眼眼瞼嚴重腫脹家長帶他就醫,檢查發現上眼瞼結膜充血外,還長了許多巨大的疙瘩物,每顆直徑都大於0.1 公分,並覆蓋白色黏液,診斷為「巨大乳突結膜炎合併角膜潰瘍」,醫師提醒,孩童若不斷眨眼就應儘快就醫檢查。
達特楊眼科聯盟執行長洪啟庭指出,小二男童就醫時不僅左眼眼瞼嚴重腫脹,最佳視力僅0.5並有300度散光,應是過敏性結膜炎合併過敏性鼻炎、濕疹、異位性皮膚炎或氣喘等,因為長期揉眼導致眼皮長滿巨大乳突,因長時間壓迫造成上半部角膜有淺層潰瘍,故造成300度的高度散光和視力模糊,經強效抗生素與適當類固醇藥水治療,2星期後角膜潰瘍痊癒,乳突的也變小,學童眨眼睛的現象也明顯改善,但乳突完全消失恐要半年以上。
洪啟庭表示,台灣地區每3個學童就有1位罹患短期或長期性過敏性結膜炎,短期多是季節性過敏,長期性因慢性發炎,使結膜上皮細胞的過度增生,如本案男童長成大於0.1公分的乳突,病人會有明顯的異物感、激癢、黏液分泌物變厚、視力模糊,嚴重時還會出現角膜潰瘍。成人大多是和隱形眼鏡配戴習慣不良有密切關係,學童多為過敏反應。
洪啟庭提醒,造成過敏性結膜炎的原因包括空氣污染、塵蟎、花粉症、蟑螂的糞便與屍體、黴菌,以及寵物的皮垢、毛髮或分泌物等,25%會合併打噴嚏、流鼻水或鼻塞等症狀,此類結膜炎不會交互傳染,但乳突的治療至少要幾個月,若未持續治療,恐會造成角膜病變,而出現明顯異物感與高度散光所引起的視力模糊。
發燒新聞





網友回應