限制級
您即將進入之新聞內容 需滿18歲 方可瀏覽。
根據「電腦網路內容分級處理辦法」修正條文第六條第三款規定,已於網站首頁或各該限制級網頁,依台灣網站分級推廣基金會規定作標示。 台灣網站分級推廣基金會(TICRF)網站:http://www.ticrf.org.tw
赴日前腹痛急診 粉領族巨大卵巢囊腫扭轉恐喪命
〔記者蔡淑媛/台中報導〕台中31歲小姐在去(2024)年10月健檢時意外發現左側卵巢有顆11公分大的巨大卵巢囊腫,因為準備赴日旅遊,與醫師預約返國再做腹腔鏡手術切除囊腫,不料健檢隔天,突然劇烈腹痛掛急診,確診是卵巢扭轉導致急性腹痛,緊急切除囊腫,保住卵巢。
台中醫院婦產科醫師林新旺指出,急診腹痛的女性患者約有3%是卵巢扭轉,由於卵巢在身體裡是由韌帶支撐,會隨身體動作而浮動,在正常情況下,卵巢旋轉後可再轉回復位,如果卵巢囊腫或畸胎瘤過大,旋轉後常無法復位,導致急性破裂或扭轉,嚴重甚至會造成卵巢組織壞死,必須切除卵巢才能保命。
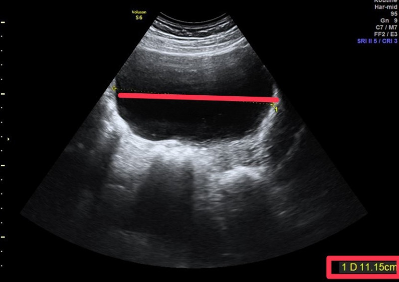
林新旺指出,患者旅日前就醫婦產科門診,健檢發現左側卵巢囊腫,從超音波影像明顯可見,左側卵巢有顆11 X 10公分的巨大卵巢囊腫,由於囊腫過大,建議以腹腔鏡摘除囊腫,約定在旅日後手術。
不料門診隔天,患者發生急性腹痛,伴隨嘔吐症狀,掛急診發現左側卵巢扭轉,進行腹腔鏡卵巢囊腫切除手術,術中保留完整的卵巢,讓患者保住未來生育機會。
林新旺提醒,婦女如果出現急性且不明原因的腹痛、腰痛,有噁心、嘔吐等症狀,可能是卵巢扭轉症狀,應立即就醫。
另外有卵巢囊腫病史者,應每3個月門診追蹤檢查,若囊腫持續變大超過5公分以上,建議腹腔鏡開刀治療,切除囊腫並保留完整卵巢,避免因為急性卵巢扭轉就醫不及,導致卵巢缺血壞死,必須切除卵巢的遺憾。
林新旺也說,這名患者因卵巢扭轉緊急開刀,取消旅日賞楓,由於是急症造成,航空公司依據醫院開立的診斷證明退還機票費用,她也於康復後,在上個月好與好友到日本賞櫻,完成旅行。
發燒新聞


