限制級
您即將進入之新聞內容 需滿18歲 方可瀏覽。
根據「電腦網路內容分級處理辦法」修正條文第六條第三款規定,已於網站首頁或各該限制級網頁,依台灣網站分級推廣基金會規定作標示。 台灣網站分級推廣基金會(TICRF)網站:http://www.ticrf.org.tw
4度心跳驟停瀕死 罕見「冠狀動脈痙攣」
記者翁聿煌/新北報導
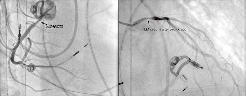
59歲洪先生有長期菸癮,去年曾2度到院前心肺功能停止(OHCA),後續疑似房室傳導阻滯,裝置心臟節律器出院,不料近期心跳驟停再度OHCA送醫,半年內4度心跳驟停瀕死,經啟動葉克膜救回一命,最終找出他罹患罕見嚴重的「雙側冠狀動脈痙攣」,造成冠脈劇烈收縮、血流瞬間減少甚至中斷,進而誘發致命心律不整與心跳停止。
冠脈劇烈收縮 誘發致命心律不整
台北慈濟醫院心臟血管外科醫師徐展陽指出,冠狀動脈痙攣普遍以藥物治療為主,但因洪先生病況嚴重,無法單靠藥物控制,為降低再發風險,由心血管內、外科與胸腔外科團隊合作,放置冠狀動脈支架,避免病發時血管攣縮導致缺氧,並植入心臟去顫器裝置,可偵測到異常心室顫動時,自動發出電流刺激,恢復正常心律。
徐展陽說,病患因交感神經系統控制心跳與血壓,阻斷胸交感神經會降低心臟的交感神經張力,因此安排胸腔外科執行胸腔交感神經燒灼阻斷手術,降低發作風險,並搭配藥物控制病情,術後洪先生恢復良好,1個月後已能行走自如,總算脫離猝死威脅,回到正常生活,他出院後決心戒菸。
心臟功能室主任葉冠宏指出,常見的冠狀動脈疾病包括動脈硬化與血管阻塞,而冠狀動脈痙攣則是血管抽筋,為血管突然且劇烈收縮,使血流瞬間減少甚至中斷,可能引發嚴重心律不整,甚至導致心跳停止。
他說,臨床觀察顯示,冠狀動脈痙攣與多重因素相關,包括高血壓、高血脂、糖尿病等三高族群風險較高,同時與自律神經失衡有關,尤其是交感神經過度活化,容易造成血管異常收縮,部分病人在發作前可能出現胸悶、胸痛、心悸或冒冷汗等症狀,也有人一發作,馬上併發嚴重心律不整,導致猝死,因而需透過病史、心電圖變化、冠狀動脈攝影或心導管,進行誘發測試等檢查綜合判斷,及早發現並介入治療,才能降低致命風險。
發燒新聞


