限制級
您即將進入之新聞內容 需滿18歲 方可瀏覽。
根據「電腦網路內容分級處理辦法」修正條文第六條第三款規定,已於網站首頁或各該限制級網頁,依台灣網站分級推廣基金會規定作標示。 台灣網站分級推廣基金會(TICRF)網站:http://www.ticrf.org.tw
女師久咳又爆瘦 罕見「非結核分枝桿菌」惹禍
文/楊政晧
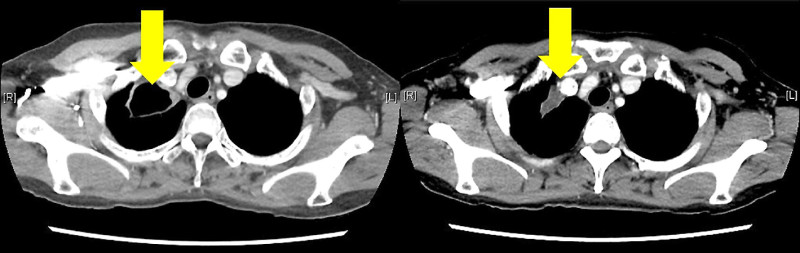
陳女士是補教老師,長期咳嗽超過半年,起初以為只是普通感冒,嘗試中藥與民間偏方皆未改善,不僅咳出大量濃痰,體重還驟降5公斤,一度懷疑罹患肺癌。經外院檢查,痰液細菌培養呈現「分枝桿菌」陽性,依肺結核進行治療後仍未好轉,轉診本院,安排支氣管鏡與多次痰液細菌培養檢驗,最終確診為非結核分枝桿菌-「膿腫分枝桿菌」感染。
比肺結核更難診斷
分枝桿菌可分為2類,1類是引起肺結核的「結核分枝桿菌」,另一類是存在於環境中的「非結核分枝桿菌」。非結核分枝桿菌常見於土壤、河流、水源及浴室環境中,雖然不具高度傳染性,但免疫力較弱或本身患有慢性肺病,仍可能受到感染,導致慢性肺部發炎。
在非結核分枝桿菌中,以「膿腫分枝桿菌」引起的肺部感染最為棘手,此菌具有高度抗藥性,治療時間長、療程複雜,通常需先進行1至2個月的加強療程,同時使用口服與注射抗生素合併治療。注射型抗生素雖效果明顯,但可能產生噁心、食慾不振、腎功能受損或聽力下降等副作用,治療必須在醫療團隊嚴密監測下進行,待病情穩定後,再改為口服或吸入型抗生素維持療效,整體治療期長達一年以上。
高度抗藥性 須多重藥物長期治療
由於陳女士工作繁忙,無法長期住院接受注射治療,改採口服抗生素搭配居家型霧化吸入抗生素,同時由呼吸治療師指導霧化器的正確使用方式,以確保藥效發揮,經過一年的治療與定期追蹤,痰液檢驗轉為陰性,肺部病灶明顯縮小,生活品質明顯改善。
若出現咳嗽持續2週以上、痰多、體重下降或疲倦無力等症狀,應盡速就醫檢查,非結核分枝桿菌雖不會造成大規模傳染,但治療時間長、過程繁瑣,患者必須遵從醫囑、正確用藥並規律追蹤,才能有效控制病情,避免肺部病灶惡化。
(作者為新北市立土城醫院感染醫學科主任)
發燒新聞



網友回應