限制級
您即將進入之新聞內容 需滿18歲 方可瀏覽。
根據「電腦網路內容分級處理辦法」修正條文第六條第三款規定,已於網站首頁或各該限制級網頁,依台灣網站分級推廣基金會規定作標示。 台灣網站分級推廣基金會(TICRF)網站:http://www.ticrf.org.tw
鼻竇炎吃藥沒效 恐是黴菌作怪
文/花曼瑋
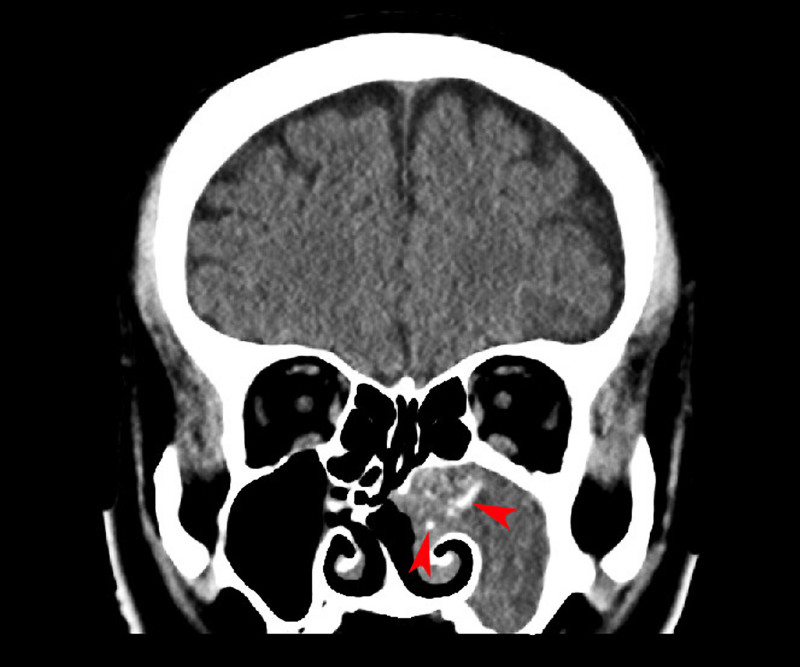
56歲的林小姐半年來飽受鼻塞、咳嗽有痰偶爾帶血絲,服用多輪抗生素治療未改善,經轉介前來就醫,內視鏡檢查確認是鼻竇炎問題,結合電腦斷層檢查發現,引起鼻竇炎的罪魁禍首不是細菌,而是感染了黴菌!(圖1)黴菌在她的鼻竇裡堆積成黏土狀(圖2),即使鼻沖洗也難以清除,須手術打開鼻竇、完整移除黴菌塊,手術後她不需使用抗黴菌藥物即可順利康復,也終於放下心中的大石。
須手術打開鼻竇 移除黴菌塊
一般鼻竇炎多半由細菌或病毒引起,只要吃藥、沖鼻子即可改善,但若鼻塞、濃鼻涕、臉部悶痛持續未好轉,尤其是單側鼻子反覆發作,就要提高警覺是否為黴菌性鼻竇炎。
根據不同文獻及地域差異,黴菌性鼻竇炎約占慢性鼻竇炎的10-30%,包含過敏型、黴菌球與侵襲型等。治療方式因類型不同而有所差異,其中,在免疫正常的族群中最常見的是「黴菌球(fungal ball)」。
黴菌球不是腫瘤,不會侵蝕鼻竇,但會在鼻竇中逐漸堆積、乾燥凝結,形成一團像黏土般的硬塊,無法自行排出。黴菌球內常有鈣化,影像學檢查上會呈現亮白如石頭般的特徵(圖3)。
治療方面,黴菌球因常伴隨細菌感染,單靠抗生素可能稍有改善但無法根治;抗黴菌藥物也無法深入團塊內部,鼻沖洗更無法徹底清除,所以,最有效的治療方式是以微創內視鏡手術(ESS)打開鼻竇開口,徹底移除黴菌塊,手術傷口小、恢復快,復發率低。
空氣中本就存在黴菌孢子,健康狀態下吸入通常無害。但以下情況會提高風險:年齡增加、鼻竇結構異常、曾做過上顎牙齒根管治療、免疫力異常等。免疫低下的患者中,甚至可能出現危險性更高的侵襲性黴菌鼻竇炎。若鼻竇炎服藥久治不癒、單側鼻塞或有臭味濃鼻涕,應尋求耳鼻喉科醫師協助,及早精準治療,才能恢復健康呼吸。
(作者為台中榮總耳鼻喉頭頸部醫師)
發燒新聞





網友回應