限制級
您即將進入之新聞內容 需滿18歲 方可瀏覽。
根據「電腦網路內容分級處理辦法」修正條文第六條第三款規定,已於網站首頁或各該限制級網頁,依台灣網站分級推廣基金會規定作標示。 台灣網站分級推廣基金會(TICRF)網站:http://www.ticrf.org.tw
喪禮失憶2小時 海馬迴中風險當卡到陰
記者陳冠備/彰化報導
一名60歲張姓婦人日前參加親人喪禮時,突然神情異常反覆詢問:「我為什麼在這裡?」家屬一度以為她是悲傷過度「卡到陰」,沒想到就醫後發現,竟是腦部「海馬迴」區域中風引起的「短暫性全面失憶」。醫師提醒,這類中風症狀不明顯,極易被忽略,若未及時就醫,恐錯失治療黃金期。
短暫性全面失憶 數小時後恢復
家屬表示,婦人參加喪禮前一切正常,沒有中風常見的手腳無力、口齒不清等症狀,但是在2小時的喪禮過程中,她突然神情陷入空洞,不斷反覆詢問「我為什麼在這裡」、「你要做什麼」等問題,喪禮結束後才慢慢恢復正常,卻完全不記得剛才異狀,只覺得精神疲憊想睡,在親友提醒後,決定就醫檢查。
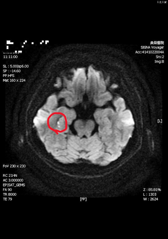
彰化縣員榮醫院神經內科醫師陳彥秀表示,經核磁共振(MRI)檢查顯示,婦人右側海馬迴出現一點亮亮影像,證實是因情緒激動引發局部中風,導致「短暫性全面失憶」。
陳彥秀解釋,「短暫性全面失憶」常在情緒劇烈起伏、重大壓力或身體狀況異常時發生,患者會不斷反覆提問,卻無法形成當下記憶,通常數小時後恢復,但發病期間的記憶會完全空白,由於症狀特殊,常被誤認為心理或精神問題,因而延誤就醫。
陳彥秀指出,該名婦人除了喪禮期間的記憶缺失外,四肢活動與其他認知功能皆正常,外觀看不出曾中風,倘若當時未就醫,可能根本不會發現自己中風。
不明顯中風 仍須藥物治療追蹤
陳彥秀強調,這類「不明顯的中風」容易被忽略,即使症狀已經緩解,患者仍須接受抗血小板藥物治療與定期追蹤,以降低再次中風的風險。她呼籲,若家人突然出現短暫記憶空白、反覆詢問相同問題,即使沒有肢體無力或言語障礙,也應盡快就醫檢查,以免延誤治療。
發燒新聞


網友回應