限制級
您即將進入之新聞內容 需滿18歲 方可瀏覽。
根據「電腦網路內容分級處理辦法」修正條文第六條第三款規定,已於網站首頁或各該限制級網頁,依台灣網站分級推廣基金會規定作標示。 台灣網站分級推廣基金會(TICRF)網站:http://www.ticrf.org.tw
反覆高燒血球低下 竟是心臟「三尖瓣重度逆流」釀禍
記者翁聿煌/新北報導
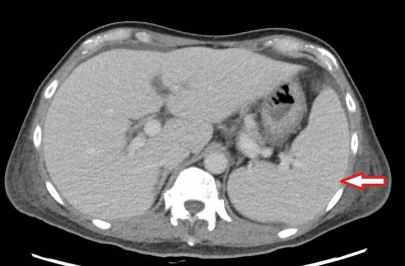
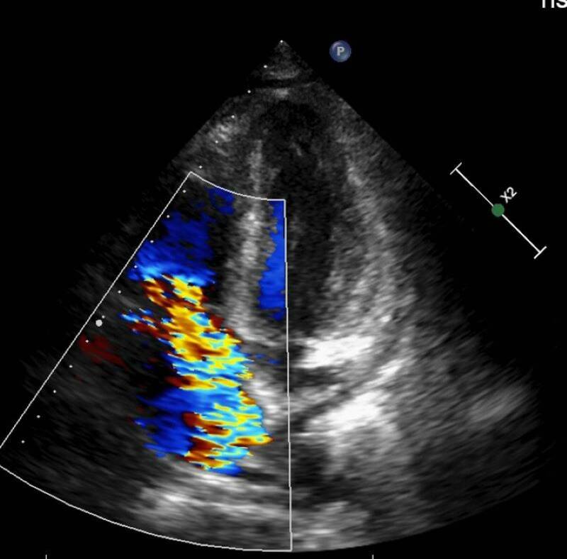
63歲林先生去年底開始出現不明原因反覆高燒,多次往返診所查不到原因,經到大醫院抽血檢查,顯示白血球、血小板及血紅素低下必須輸血,但血液及骨髓等檢查均找不到病因,僅電腦斷層意外發現他的脾臟腫大與腹水,最後在心臟超音波檢查中,發現罹患三尖瓣重度閉鎖不全,瓣膜上還長了1公分大的贅生物(細菌感染的病灶),確診為感染性心內膜炎,更換人工生物瓣膜,清除感染病灶後恢復健康。
引發感染性心內膜炎 致脾臟腫大
台北慈濟醫院心臟血管外科醫師楊凱文指出,三尖瓣是位於心臟右心房與右心室之間的重要瓣膜,負責讓血液從右心房單向流入右心室,防止血液倒流,功能與左心房和左心室之間的二尖瓣類似。造成三尖瓣逆流的原因繁多,包括風濕性心臟病、感染性心內膜炎、二尖瓣或主動脈瓣疾病、心律不整,甚至是長期抽菸、慢性呼吸道疾病、自體免疫疾病等,均可能導致三尖瓣逆流。
置換瓣膜、清除感染救命
楊凱文表示,若三尖瓣功能受損,血液逆流回右心房,使右心房壓力增加,進而影響全身血液回流,就會造成器官壓力上升,當逆流非常嚴重且延遲治療,少部分病人的肝脾會出現問題,例如肝硬化、脾臟腫大等,而脾臟是造血器官,若因此腫大,造成血球細胞破壞,就可能導致全身性血球減少,發生如林先生一般的情況。
楊凱文提到,三尖瓣逆流並不少見,根據國外統計指出,有高達70%至80%的健康人群可見輕微三尖瓣逆流,但中重度以上的三尖瓣逆流發生率較低,約占整體人口的1-2%,多數患者初期無明顯症狀,直至中重度以上才會有輕微水腫出現,因此許多人往往忽略其嚴重性,待出現嚴重症狀時,多半已經變成重度逆流。
發燒新聞




網友回應