限制級
您即將進入之新聞內容 需滿18歲 方可瀏覽。
根據「電腦網路內容分級處理辦法」修正條文第六條第三款規定,已於網站首頁或各該限制級網頁,依台灣網站分級推廣基金會規定作標示。 台灣網站分級推廣基金會(TICRF)網站:http://www.ticrf.org.tw
全球第5例》8旬翁足跟腫痛治不好 竟是極罕見「跟骨多發性骨髓瘤 」
文/王偉傑
新北市1名80多歲老翁,近半年來右側足跟紅、腫、熱、痛,原以為是痛風,就醫治療後卻未見改善。日前前往腎臟科門診診斷,檢查後才發現是「多發性骨髓瘤」,且是極罕見發生於跟骨的案例。所幸在治療後控制病情,目前恢復良好。
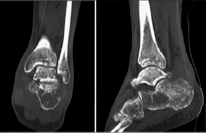
老翁自述,足跟腫痛導致不良於行,四處求診中西醫卻都未獲改善,遂求診腎臟內科。診間為他安排血液和尿液檢查後,察覺數值異常,立即進一步進行核子醫學掃描,掃描結果顯示,足跟疼痛的部位不僅軟組織受影響,連同周邊骨骼亦呈現發炎反應,初步懷疑為骨髓炎。
為釐清病因,醫療團隊進一步安排核磁共振檢查(MRI),MRI顯示足跟處存在1個腫瘤樣病灶,且周邊骨骼已有侵蝕情形,後續透過手術及病理切片,確認為「多發性骨髓瘤」。
多發性骨髓瘤屬於血液癌症之一,是骨髓內的漿細胞突變癌化後所造成的癌症。貧血、背痛、骨折、血鈣過高、細菌感染及腎衰竭等都是多發性骨髓瘤症狀,由於症狀多樣,常與其他疾病混淆,導致診斷不易。
經查詢國際醫學文獻,孤立發生於跟骨的多發性骨髓瘤極為罕見,全球迄今僅有4例相關報告,本案例為極具醫學價值的第5例。
醫療團隊為老翁轉診至他院血液腫瘤科進行全身性檢查,所幸檢查並未發現其他部位有骨髓瘤侵犯的跡象。目前老翁已開始接受多發性骨髓瘤的標準治療,症狀明顯改善,持續於門診追蹤,恢復良好。
身體異常警訊不可輕忽,若年長者的局部腫痛在接受一般治療後仍未改善,應重視可能隱含的非典型疾病,及早確診,才能爭取最適當的治療。
(作者為衛福部樂生醫院院長、腎臟內科醫師)
發燒新聞


網友回應