限制級
您即將進入之新聞內容 需滿18歲 方可瀏覽。
根據「電腦網路內容分級處理辦法」修正條文第六條第三款規定,已於網站首頁或各該限制級網頁,依台灣網站分級推廣基金會規定作標示。 台灣網站分級推廣基金會(TICRF)網站:http://www.ticrf.org.tw
車禍傷處沾黏睡覺痛醒 「微導管栓塞術」止痛新選擇
記者顏宏駿/彰化報導
1名46歲男子約半年前騎機車摔倒,右肩著地受傷,雖有吃藥、復健,但晚上睡覺翻身壓到傷處仍會痛醒,到員榮醫院復健科就醫,醫師採用微導管栓塞術,阻斷增生血管,再配合心導管手術,有效降低患者疼痛,患者目前已痊癒。
員榮復健科主任陳冠霖表示,患者就醫時自訴,車禍後傷處沾黏,右肩膀活動度大幅受限,工作太勞累,會因為肩頸痠痛造成劇烈偏頭痛,吃數個月的止痛藥並復健,效果仍有限,晚上睡覺常痛醒。
吃藥復健無感者可考慮
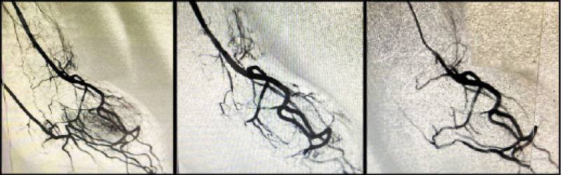
考量患者已吃了數個月的止痛藥,但效果有限,核磁共振檢查發現他的右肩旋轉肌腱有撕裂傷,肱骨骨髓水腫、關節囊韌帶撕裂。而骨骼超音波也發現患部的血流增加,而這類疼痛往往來自於關節處新生的異常微細血管,周邊還伴隨細小且裸露的疼痛神經增生,導致病患長期不適。因此採用「經導管動脈微栓塞術(TAME)」在內的微導管栓塞新技術,透過血管攝影精準找出異常微血管並進行栓塞,阻斷疼痛來源,大幅緩解患者的不適症狀。
員榮心導室主任林彤宥表示,臨床經驗顯示,這項療法過程與心導管、腫瘤栓塞治療類似,醫師會從手腕橈動脈或鼠蹊部股動脈進行穿刺,在X光透視下導引微導管,將栓塞劑或微球材料注入異常血管,使周邊異常神經因血流受阻而降低活性,減少疼痛訊號傳導,手術之後的影像顯示,原本「雲霧狀」的血管明顯減少,患者疼痛也隨之改善。
員榮醫院表示,這項手術若自費約2萬元,但本案患者因車禍引發疼痛,可獲得健保給付。
☆健康新聞不漏接,按讚追蹤粉絲頁。
☆更多重要醫藥新聞訊息,請上自由健康網。
熱門賽事、球星動態不漏接
發燒新聞



網友回應