限制級
您即將進入之新聞內容 需滿18歲 方可瀏覽。
根據「電腦網路內容分級處理辦法」修正條文第六條第三款規定,已於網站首頁或各該限制級網頁,依台灣網站分級推廣基金會規定作標示。 台灣網站分級推廣基金會(TICRF)網站:http://www.ticrf.org.tw
腫瘤惹禍臉變形 3D列印精準重建下顎
記者張聰秋/彰化報導
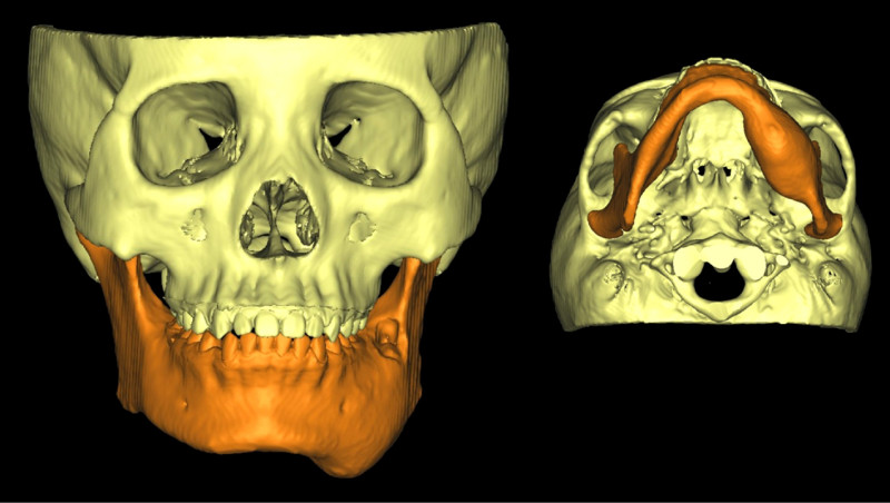
1名18歲的女大生發現自己臉型逐漸不對稱、左下顎隆起明顯,咬合出現異常,經轉診就醫後,確診為下顎骨良性腫瘤,接受3D列印輔助精準切除腫瘤,並運用「重疊腓骨皮瓣重建」技術重建下顎,讓患者恢復自然外觀與口腔功能,成功重拾自信與笑容。
重疊腓骨皮瓣重建 女大生重拾笑容
彰化秀傳醫院口腔顎面外科醫師林楠瑾指出,女大生的病理檢查證實為良性齒源性腫瘤的牙骨質骨化纖維瘤,此病多發於20至40歲女性,這位女大生在18歲就發病,相當罕見,若未及早治療,腫瘤會造成顎骨變形、臉部不對稱與咀嚼障礙。
林楠瑾說,為兼顧腫瘤切除與顏面重建,醫療團隊術前以3D列印技術製作病人顎骨立體模型,模擬手術切除範圍與骨重建角度,並以手術導引板輔助,確保能清楚辨識齒槽神經位置及腫瘤邊界,在完整切除腫瘤的同時,也成功保留下唇感覺與口腔功能。
他指出,腫瘤切除後,由口腔顎面外科醫師黃冠閔接手進行「重疊腓骨皮瓣重建」手術,取病患小腿腓骨骨段及皮瓣移植至下顎缺損處,再以精密鈦板固定。此技術能恢復顎骨支撐結構,並預留日後植牙的骨量,術前團隊也依全口重建(All-on-X)原則,預先規劃植牙位置,確保術後可重建自然咬合與咀嚼功能。
女大生經過長時間手術與復原,臉型恢復對稱,她告訴醫師:「以前我都不敢照鏡子,現在能笑得很自然,真的很感謝醫師!」
林楠瑾提醒,若出現臉部不明腫脹、咬合不正或臉型變化,應盡早就醫,別輕忽顎骨異狀,以免延誤治療時機。
☆健康新聞不漏接,按讚追蹤粉絲頁。
☆更多重要醫藥新聞訊息,請上自由健康網。
熱門賽事、球星動態不漏接
發燒新聞




網友回應