頻道logo
限制級
您即將進入之新聞內容 需滿18歲 方可瀏覽。
根據「電腦網路內容分級處理辦法」修正條文第六條第三款規定,已於網站首頁或各該限制級網頁,依台灣網站分級推廣基金會規定作標示。 台灣網站分級推廣基金會(TICRF)網站:http://www.ticrf.org.tw

長短腳差7公分 翁靠精準關節手術揮別跛腳

2025/10/28 05:30

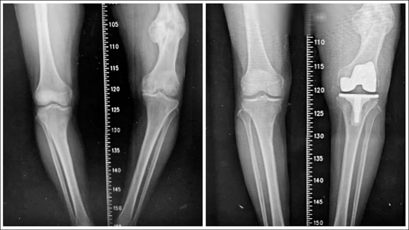
▲黃姓老翁的長短腿(左)在手術後(右)大幅改善。(豐原醫院提供)

▲黃姓老翁的長短腿(左)在手術後(右)大幅改善。(豐原醫院提供)

記者歐素美/台中報導

87歲黃姓老翁年輕時,左側股骨骨折,因治療不佳致骨癒合不良,並出現內翻變形,造成下肢雙腳出現約2公分的長度差距,最後更擴大至近7公分,長年深受長短腳與膝蓋疼痛所苦,不僅步態不穩,更引發腰部與下肢不適,在接受人工膝關節置換手術後,成功改善症狀,重拾穩健步伐。

衛生福利部豐原醫院骨科醫師江福財指出,黃翁術前必須依靠不斷加高鞋墊來補償下肢長度差異,但仍難以正常行走,經常出現腰痠、下肢疼痛,更因長期負重不均導致左膝關節嚴重退化,疼痛加劇,無法久站或長時間行走,日常生活與工作效率大受影響。

黃翁手術困難度在於要同時面對「陳舊性股骨骨折造成的骨骼變形」與「長達7公分的下肢長度差距」,因此,除了進行人工關節置換,還需進行精準的韌帶平衡,經輔以電腦導航與影像輔助技術,在修正骨骼角度的同時兼顧關節周圍韌帶平衡,避免造成膝關節不穩定,行動困難。

江福財表示,黃翁手術並未採用截骨矯正方式,而是單靠人工膝關節置換,直接解決患者最在意的長短腳問題,最終成功將雙腿長度差縮小至約2.5公分,大幅改善步態,術後患者無需輔具即可下床行走,逐步恢復生活自理能力,但術後仍須持續進行肌力訓練與步態矯正,以確保關節穩定性,並定期回診追蹤。

江福財強調,長短腳常見成因包括:骨折後畸形癒合、髖關節發育不良與脊椎疾病等,若差距逾3公分,長期恐導致膝關節退化、骨盆傾斜、脊椎側彎及下背痛等後遺症,提醒民眾若發現鞋底磨損不對稱、走路一跛一跛或長期腰背疼痛,應及早就醫檢查,除可透過鞋墊補償、物理治療等改善,必要時手術矯正,及早治療,才能避免關節退化與生活功能受限。

▲江福財醫師表示,長短腳並非單純外觀問題,若差距超過3公分以上,長期下來恐導致膝關節退化等後遺症。(豐原醫院提供)

▲江福財醫師表示,長短腳並非單純外觀問題,若差距超過3公分以上,長期下來恐導致膝關節退化等後遺症。(豐原醫院提供)

☆健康新聞不漏接,按讚追蹤粉絲頁
☆更多重要醫藥新聞訊息,請上自由健康網

免費訂閱《自由體育》電子報

熱門賽事、球星動態不漏接

不用抽 不用搶 現在用APP看新聞 保證天天中獎  點我下載APP  按我看活動辦法

發燒新聞

網友回應

載入中