限制級
您即將進入之新聞內容 需滿18歲 方可瀏覽。
根據「電腦網路內容分級處理辦法」修正條文第六條第三款規定,已於網站首頁或各該限制級網頁,依台灣網站分級推廣基金會規定作標示。 台灣網站分級推廣基金會(TICRF)網站:http://www.ticrf.org.tw
5旬男主管語言障礙 竟罹早發性失智症
記者歐素美/台中報導
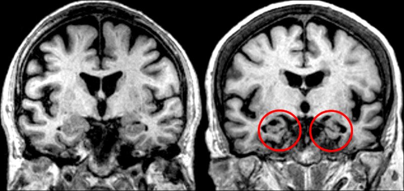
50歲謝姓男子曾是工作效率高、表現卓越的主管,不料,3年前逐漸出現記憶障礙,不僅經常忘東忘西、無法處理好交辦事項,甚至難以組織語句及表達想法,因狀態日益惡化,最後不得不離職,經哥哥陪同就醫,確診為「早發型阿茲海默症」(指65歲前發病的失智類型),因其既無家族遺傳病史,也無「三高」或慢性疾病,為家人帶來巨大衝擊。
光田綜合醫院神經內科醫師陳廷斌指出,早發型(年輕型)失智症發病原因,除了家族遺傳、腦部清除機制異常、慢性情緒障礙外,也與睡眠問題息息相關。當在深層睡眠時,大腦會啟動清除機制,將腦中的類澱粉蛋白代謝排除;若長期睡眠不足或無法進入深沉睡眠階段,這些毒素將持續堆積於大腦,損傷神經細胞,造成退化。
陳廷斌說,許多民眾對失智症存在誤解,認為只是「記性變差」或是「年紀大了」,常把失智與健忘混淆。其實,健忘是「暫時想不起來」,但之後能夠順利回想起來,失智則是這段記憶如同沒發生過,什麼事都不記得。
留意3警訊 早就醫延緩惡化
失智症初期常見3大警訊包括:性格改變、語言表達困難及判斷力下降,很容易被誤解為壓力太大或情緒低落,而延誤治療。
根據國民健康署統計,早發型失智症約佔全體失智人口5%,患者多在40至64歲間。陳廷斌強調,失智症不再是老年人的專利,當發現親友變得不像以往,不該只歸咎壓力或老化,應提高警覺,及早就醫,並搭配規律生活、運動與社交,有助延緩惡化。
發燒新聞


