限制級
您即將進入之新聞內容 需滿18歲 方可瀏覽。
根據「電腦網路內容分級處理辦法」修正條文第六條第三款規定,已於網站首頁或各該限制級網頁,依台灣網站分級推廣基金會規定作標示。 台灣網站分級推廣基金會(TICRF)網站:http://www.ticrf.org.tw
31歲女腹痛掛急診 卵巢藏11公分囊腫緊急切除
記者蔡淑媛/台中報導
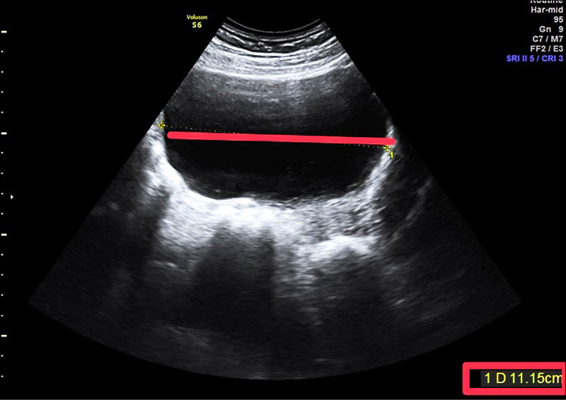
台中1名31歲女子去年10月健檢時,意外發現左側卵巢有1顆11公分大的巨大卵巢囊腫,因為準備赴日旅遊,與醫師預約返國後,再做腹腔鏡手術切除囊腫。不料健檢隔天,突然劇烈腹痛掛急診,確診是卵巢扭轉導致急性腹痛,緊急切除囊腫,保住卵巢。
台中醫院婦產科醫師林新旺指出,急診腹痛的女性患者約有3%是卵巢扭轉。由於卵巢在身體裡是由韌帶支撐,會隨身體動作而浮動,在正常情況下,卵巢旋轉後,可再轉回復位,如果卵巢囊腫或畸胎瘤過大,旋轉後,常無法復位,導致急性破裂或扭轉,嚴重甚至會造成卵巢組織壞死,必須切除卵巢,才能保命。
林新旺指出,患者出國前健檢發現左側卵巢囊腫,從超音波影像明顯可見,左側卵巢有1顆11×10公分的巨大卵巢囊腫,由於囊腫過大,建議以腹腔鏡摘除囊腫,約定在返台後手術。
手術保留完整卵巢 保住生育機會
不料門診隔天,患者就發生急性腹痛,伴隨嘔吐症狀,掛急診發現左側卵巢扭轉,進行腹腔鏡卵巢囊腫切除手術,術中保留完整的卵巢,讓患者保住未來生育機會。
林新旺提醒,婦女如果出現急性且不明原因的腹痛、腰痛,有噁心、嘔吐等症狀,可能是卵巢扭轉症狀,應立即就醫。
另外,有卵巢囊腫病史者,應每3個月門診追蹤檢查。若囊腫持續變大超過5公分以上,建議腹腔鏡開刀治療,切除囊腫,並保留完整卵巢,避免因為急性卵巢扭轉就醫不及,導致卵巢缺血壞死,必須切除卵巢的遺憾。
發燒新聞


