您即將進入之新聞內容 需滿18歲 方可瀏覽。
4度心跳驟停瀕死 醫療團隊聯手破解罕見冠脈痙攣奪命危機
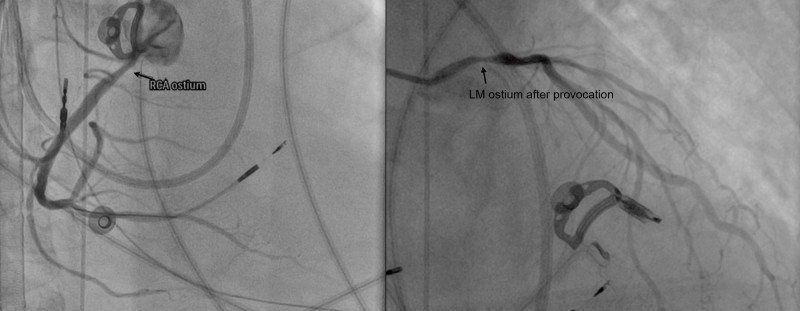
〔記者翁聿煌/新北報導〕有長期菸癮的59歲洪先生原無心血管疾病史,卻在半年內4度陷入心跳停止的生死關頭,自去年底起,他曾兩度因到院前心肺功能停止(OHCA)送醫,後續因疑似房室傳導阻滯、裝置心臟節律器出院,不料近期心跳驟停再度OHCA送醫,醫院啟動葉克膜救回一命,最終找出他罹患罕見嚴重的「雙側冠狀動脈痙攣」,造成冠脈劇烈收縮、血流瞬間減少甚至中斷,進而誘發致命心律不整與心跳停止。
台北慈濟醫院心臟血管外科醫師徐展陽表示,院方給予抗痙攣藥物治療後,洪先生一度轉危為安並成功移除葉克膜,未料住院期間仍再度發生心跳停止,需再次即時搶救與二度葉克膜緊急裝機。
徐展陽表示,冠狀動脈痙攣普遍以藥物治療為主,但因洪先生病況嚴重,無法單靠藥物控制,為徹底降低再發風險,由心血管內、外科與胸腔外科多團隊合作,先後放置冠狀動脈支架避免病發時血管攣縮導致缺氧;並植入心臟去顫器裝置,在偵測到異常心室顫動時,自動發出電流刺激,恢復正常心律。
徐展陽說,病患因交感神經系統控制心跳與血壓,阻斷胸交感神經會降低心臟的交感神經張力,也安排胸腔外科執行胸腔交感神經燒灼阻斷手術,降低發作風險並搭配藥物持續控制病情,術後洪先生恢復良好,一個月後已能行走自如,總算脫離猝死威脅,回到正常生活,他出院後決心戒菸,盼以健康生活方式回應醫療團隊救命之恩。
心臟功能室主任葉冠宏指出,常見的冠狀動脈疾病包括動脈硬化與血管阻塞,而「冠狀動脈痙攣」則是血管抽筋,為血管突然且劇烈收縮,使血流瞬間減少甚至中斷,可能引發嚴重心律不整,甚至導致心跳停止。
他指出,臨床觀察顯示,冠狀動脈痙攣多與多重因素相關,包括高血壓、高血脂、糖尿病等三高族群風險較高,同時也與自律神經失衡有關,特別是交感神經過度活化,容易造成血管異常收縮,部分病人在發作前可能出現胸悶、胸痛、心悸或冒冷汗等症狀,也有病人如洪先生一般,一旦發作馬上併發嚴重心律不整直接導致猝死,因此臨床上需透過病史、心電圖變化、冠狀動脈攝影或心導管進行誘發測試等檢查綜合判斷,及早發現並介入治療,才能降低致命風險。
發燒新聞


