您即將進入之新聞內容 需滿18歲 方可瀏覽。
3公分肝癌3D影像加螢光導航精準除患 醫:B肝帶原須終身追蹤
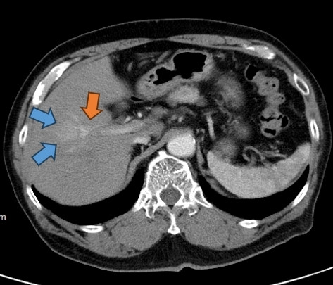
〔記者王俊忠/台南報導〕67歲陳先生是B型肝炎帶原者,長期在診所追蹤,後來超音波發現肝臟右側出現1顆3公分大的腫瘤,轉診成大醫院進一步做腹部電腦斷層,研判腫瘤極可能是原發性肝癌,因腫瘤貼近右前葉肝臟的肝門靜脈、尚未有肝硬化表徵,在期望完全根治的考量下,患者決定接受手術評估。
成大醫院外科部主治醫師楊宗翰指,陳先生抽血檢查顯示肝功能無明顯異常,但胎兒蛋白指數升高。醫療團隊進一步以3D立體影像重組,模擬切除右前葉肝臟,仍可保留約60%肝臟,具備安全手術條件。手術過程運用靛氰綠(ICG)螢光染色技術,清晰辨識右前葉肝臟血管供應範圍,以微創手術精準切除肝病灶範圍,手術出血量在100ml以內。陳先生術後恢復良好,第5天出院,後續每3-6個月門診追蹤,迄今滿2年未見復發跡象。
楊宗翰表示,肝癌根除性治療以手術及燒灼為主。肝臟是血管極為豐富的器官,手術困難度在於完整切除腫瘤時,要設法最大程度保留正常肝臟組織並減少出血。近年隨著微創技術與精密儀器進展,結合術前影像3D重組與術中螢光染色,可大幅提升手術精準度,這「精準導航」的手術策略,具備以下優勢:
1、術前精準評估:透過3D立體影像重組,醫師於術前可清楚掌握血管走向與腫瘤位置,預先規劃切除路徑,保留足夠正常肝臟功能;2、術中螢光導航:利用靛氰綠(ICG)螢光染色,即時辨識肝臟血管供給範圍,協助醫師於低出血風險區域做切除,減少術中出血;3、微創加速復原:結合微創傷口與精準定位,降低正常肝組織損傷,多數病患可於手術後1週內出院,及早恢復日常生活。
楊宗翰同時提醒B肝帶原患者,除了定期就醫服藥追蹤,即是終身追蹤、不可輕忽,平日也要留意適度運動、減重控制合宜體重與飲食,避免吃精緻類澱粉(如蛋糕、糖果類)與飲用酒類及服用來路不明的藥物,防範形成脂肪肝,降低對肝臟的傷害。
發燒新聞


