限制級
您即將進入之新聞內容 需滿18歲 方可瀏覽。
根據「電腦網路內容分級處理辦法」修正條文第六條第三款規定,已於網站首頁或各該限制級網頁,依台灣網站分級推廣基金會規定作標示。 台灣網站分級推廣基金會(TICRF)網站:http://www.ticrf.org.tw
39歲壯男尿流中斷 超音波照出2.5公分大結石
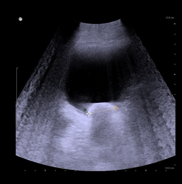
〔記者王涵平/台南報導〕1名39歲壯年男子最近發現排尿時尿流會中斷,越來越常發生,前往部立新營醫院泌尿科求診,泌尿科主任陳建升在診間使用超音波掃描膀胱,赫然發現1顆2.5公分大的結石,安排病患住院接受內視鏡手術,手術順利將結石擊碎並取出。
患者平時在蘭花園區從事勞力工作,前陣子覺得在小便快結束時,下腹部偶爾會有一點刺刺的,因為只是偶爾發生且不嚴重,所以就不管它。最近發現排尿到一半會突然間卡住,但是只要身體抖動一下,又可以尿了,造成小便的困擾,於是前往求醫。經陳建升手術將結石擊碎並取出,也擔心病患是不是有排尿功能的障礙,於病患回診時,進一步安排尿路動力學檢查,結果顯示一切正常。推測病患膀胱結石的原因可能還是與飲水量不足有關。病患順利出院後,就再也沒有解尿時的不適感。
根據過去的研究顯示,國人發生尿路結石的盛行率,大約是每10人就有1人有結石問題,男性的風險是女性2.4倍,平均發生的年齡落在52歲左右,大部分就醫的病患都是以輸尿管結石為主,膀胱結石只占所有因結石疾病就醫的1成不到。膀胱結石的症狀包括小便尿到最後刺痛、血尿、尿流中斷,以及持續性的膿尿等等。結石往往順應膀胱的形狀而呈圓形或橢圓形,越晚才被發現的膀胱結石越大顆。
陳建升呼籲要多喝水,雖然現在是冬天,較少流汗,仍然別忘記要補充水分,每日建議飲水量2000CC,足夠的飲水量可以稀釋尿液中礦物質濃度,減少尿液中結晶的產生;也請大家定期排空膀胱,避免長期憋尿,才能避免尿路結石所帶來的困擾。
發燒新聞


