您即將進入之新聞內容 需滿18歲 方可瀏覽。
關鍵血管阻塞 「複合式冠脈血流重建」搶救心臟功能
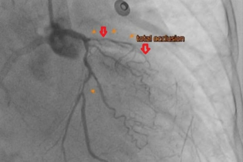
〔記者翁聿煌/新北報導〕63歲陳女士3個月前出現呼吸越來越喘、胸悶不適等症狀,到院心導管檢查發現其左前降支合併完全阻塞左迴旋枝狹窄,診斷為缺血性心肌病變,即冠狀動脈阻塞導致的慢性心臟衰竭,醫師採取達文西微創冠狀動脈繞道手術,以左內乳動脈為繞道血管,重新供應左前降支的血流,後續再由心臟血管科醫師進行心導管疏通左迴旋枝的狹窄,術後病患左心室收縮功能明顯進步。
台北慈濟醫院心臟血管外科醫師楊凱文指出,中年男性、長期吸菸、患有三高、慢性腎臟病或曾有其他血管病變者都屬於冠狀動脈阻塞好發族群,容易出現呼吸喘、胸悶、下肢水腫等症狀,根據衛福部2022年國人死因統計,平均每22分鐘就有1人因心血管疾病死亡,多年來高居10大死因前兩名。
楊凱文說,冠狀動脈疾病在治療選擇上有心導管支架置放及外科手術,前者適用於單一血管狹窄且情況不嚴重或病人手術風險過高;後者則有傳統開胸及達文西微創手術兩種,適用於多條血管嚴重狹窄甚至阻塞的情形,有時則可以採取所謂複合冠脈血流重建的方式,顧名思義是一種結合心臟外科的「微創冠狀動脈繞道手術 (MIDCAB)」與心臟內科的「經皮冠狀動脈介入治療 (PCI)」的治療方式,旨在融合兩者優點,為複雜的冠心病患者提供更佳的血流重建。
他表示,以外科手術而言,傳統開胸手術不僅需要從胸口劃10-15公分的傷口,還得將胸骨鋸開,術後疼痛較明顯,傷口感染或胸骨癒合不良風險相對較高,達文西微創手術則是利用機器人手臂經過三個8毫米的孔洞精準採取左內乳動脈(LIMA),再經由肋骨之間一個約5-7公分的小傷口直接進行血管吻合,形成新的供血管路,改善心肌缺氧的情況。
楊凱文表示,內乳動脈之所以被優先選為主繞道血管,主要是因其長期通暢率遠優於其他血管,臨床研究顯示接至左前降支後,10至15年仍能維持九成以上的通暢率,是目前治療左前降支阻塞最佳選擇。
發燒新聞



網友回應