限制級
您即將進入之新聞內容 需滿18歲 方可瀏覽。
根據「電腦網路內容分級處理辦法」修正條文第六條第三款規定,已於網站首頁或各該限制級網頁,依台灣網站分級推廣基金會規定作標示。 台灣網站分級推廣基金會(TICRF)網站:http://www.ticrf.org.tw
排尿異常應及早檢查! 台灣男性攝護腺癌發生率排名第6
〔記者黃政嘉/新北報導〕衛生福利部2021年癌症登記報告指出,攝護腺癌的發生率在台灣男性排名第6位,死亡率佔第5位,確診時為第4期患者比例就逾1/3,台北慈濟醫院泌尿科主任蔡曜州提醒,民眾若排尿異常不應視為單純老化現象,特別是有家族史者更應提高警覺,及早接受專業評估與相關檢查,以免錯失治療黃金期。
根據國健署資料顯示,全國早期攝護腺癌的5年存活率落在80.74%,晚期則為49.53%,蔡曜州說,及早篩檢、診斷是影響治療成效與預後的關鍵,1位75歲林姓老翁因攝護腺肥大、排尿困難到醫院泌尿科就診,經診斷為早期攝護腺癌,於是進行達文西攝護腺癌根除手術,在保留雙側神經血管的情況下,完整切除腫瘤。術後排尿功能明顯改善。
蔡曜州表示,攝護腺癌早期症狀與良性攝護腺肥大相近,包括排尿不順、尿流變細、頻尿、夜尿、尿急、滴尿、血尿或尿失禁等,容易被忽略而延誤就醫,一旦進展到晚期,癌細胞可能轉移,不僅治療難度大幅提高,整體預後也明顯變差。
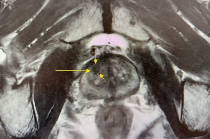
台北慈濟醫院指出,在早期診斷方面,院方以「核磁造影與超音波影像融合攝護腺切片」,取代傳統「經直腸超音波攝護腺切片」,利用3D影像融合技術將核磁造影顯示的病灶與超音波重疊,避免誤判良性或需要重複切片的情形發生。這樣的改變,讓切片準確率提升6至7成;末期患者治療中,第4期的5年存活率則達近6成,整體成效高於全國醫學中心。
蔡曜州說明,晚期攝護腺癌治療並非單一科別或單一療法可完成,團隊在治療策略上會依據病人確診期別、腫瘤侵犯範圍與身體狀況,整合泌尿科、放射腫瘤科等領域的專業人員,進行個人化治療,延長存活期的同時,兼顧病人生活品質。
發燒新聞



網友回應