您即將進入之新聞內容 需滿18歲 方可瀏覽。
2025健康網十大新聞》食不安、養錯身最受青睞 它獨占鰲頭
〔健康頻道/綜合報導〕即將告別蛇年進入馬年,今(2025)年歲末回顧一整年在《自由健康網》最受關注的新聞─「郭台銘、秦祥林白了頭 食藥署:染髮劑需慎用」。此則新聞在11月上線,至今仍在發酵中,尤其快要過新年,染不染髮又成大家熱門話題。
以下是今年十大健康網新聞回顧:
第1名:郭台銘、秦祥林白了頭 食藥署:染髮劑需慎用
新聞摘要:鴻海集團創辦人郭台銘及50年代「少女夢中情人」秦祥林皆未因步入70歲加入染髮行列,兩人皆天然髮色。科博特診所院長劉博仁指出,年輕人非基因之故,白髮不斷長出來也是身體示警方式之一;食藥署指出,不可邊洗頭邊染髮,天天使用更要慎用。
郭台銘75歲、秦祥林已77歲,兩人皆不再染髮,讓白髮佈滿全頭。食藥署提醒,頭皮是毛囊最多、最密集的部位,染髮劑的成分可能透過毛囊進入人體,不當使用染髮劑則可能出現如紅斑、搔癢、水泡、皮膚潰爛等症狀。
第2名:10種食物含毒素 美國網紅醫:不食為宜
新聞摘要:美國網紅醫師「麥可醫師」提出呼籲,「請停止吃這些食物,因為它們不僅會讓你生病,若沒有處理好,會毒死你」,他列舉像是蘋果籽、大黃葉、接骨木果等最易誤食的食物。
不過,麥可卻很推崇與鼓勵,吃奇異果時帶果皮一起吃下去,因為皮富含纖維、葉酸與維生素C、E,可提升纖維量約50%。除了腎結石體質者,需留意草酸含量。
第3名:大腸癌年輕化!醫生點名「1習慣」恐導致首次確診即晚期
新聞摘要:美國研究發現,近年來50歲以下族群罹患大腸癌的比例持續上升,且多數患者確診時癌細胞就已擴散至其他器官。醫師警告,高糖飲食、特別是含糖飲料的攝取,可能是導致越來越多年輕族群罹癌的關鍵因素。
第4名:台灣原生「蛇」麼最厲害? 雨傘節最毒 牠最愛咬人
新聞摘要:蛇是12生肖中的第6種動物,農業部在臉書專頁分享「蛇年特輯」帶領大眾了解台灣常見的6種原生蛇類:眼鏡蛇、黑眉錦蛇、赤尾青竹絲、臭青公、雨傘節、南蛇。
第5名:曾任3大醫院院長! 心臟外科權威林芳郁罹失智症
新聞摘要:國內心臟外科權威林芳郁,曾任衛生署長及台大、台北榮總、亞東醫院等3大醫學中心院長,卻在退休後罹患失智症。林芳郁的妻子、整形外科醫師林靜芸與媒體人合作出書《謝謝你留下來陪我》,勇敢書寫林芳郁的故事,為失智者、照顧者找出口。此外,在台大外科成立「林芳郁教授基金會」,協助外科醫師的養成教育以及進修。
今年林芳郁親領醫療奉獻獎,總統賴清德親自向他致意,看到他穿短袖,稱讚他:「你最勇!」儘管罹患失智症,林的近況在家人細心照料下,持續進步,令人欣慰。
第6名:7旬翁攝護腺肥大 1夜起床5次!「醫療級三秒膠」好好睡
新聞摘要:「以前晚上根本不敢睡太熟。」台中73歲洪先生苦笑回憶,因為攝護腺肥大,幾乎每晚得起床上廁所4、5次,不但睡眠切得零碎,還常尿急憋不住、尿流斷斷續續,出門旅行更成了奢望。微創治療「攝護腺動脈栓塞術(PAE)」(自費),並搭配新一代栓塞材質「血管凝膠」,免全身麻醉、傷口小,且術後即可下床行走,才讓生活恢復正軌。
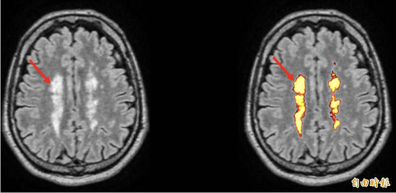
第7名:台灣人特有危險基因 48歲後腦部快速病變易失智、中風
新聞摘要:台灣人有一特殊的危險基因變異,容易導致中風及失智,帶因者盛行率約1%,先天血管壁較脆弱,年輕時就可能出現腦病變,腦部白質病變風險快速增加,認知功能可能已經下降,卻無明顯症狀,提醒有中風家族史及高血脂等腦心血管問題者,必須提早警覺。
第8名:8種糕粿熱量比一比!最胖是「它」紅龜粿排第4
新聞摘要:過年餐桌上有各式各樣的糕粿,有著步步高升的涵義,但體重別跟著一起升!草仔粿的熱量和碳水含量是最高的,雖然皮有纖維,但內餡有用油炒的肉和菜脯;而芋粿的熱量則是第二名;發糕雖然甜,但沒有內餡,故熱量是第三名;紅龜粿雖然有甜膩的紅豆餡,熱量卻排第四。
第9名:找到膽固醇的「關閉開關」?新發現有望從源頭預防心臟病與癌症
新聞摘要:科學家可能已經找到了一個能從源頭控制多種重大疾病的「分子開關」。一種名為「IDO1」的酶,它如同一個開關,在人體發炎時會擾亂免疫細胞處理膽固醇的能力,進而引發一系列健康問題。
第10名:漸凍人眨眼示「拔掉」 兒尊重、淚眼送終
新聞摘要:一位漸凍人與兒子告別,吃力眨著眼,當兒子唸到「ㄅ」時,父親眨了一下眼;「ㄆ」沒有反應;「ㄇ」又眨了一下。兒子笑笑地說:「爸,沒關係,我們再來一遍!」父親的眼皮,費力地眨啊眨,在注音板上拼出了兩個字:「拔…掉…」
前20大新聞回顧 疫病威脅最擾人
以下是年度第11-20名的新聞連結,《自由健康網》來年持續將全球最新、最精闢報導,呈現您的眼前,請繼續關注本頻道。
11.赴日經歷如大S!母肺炎併發敗血症 家人果斷返台:噴200萬
20.10人就中鏢4人!這波新冠又急又猛 醫:有3症狀務必驗一下
發燒新聞












網友回應