限制級
您即將進入之新聞內容 需滿18歲 方可瀏覽。
根據「電腦網路內容分級處理辦法」修正條文第六條第三款規定,已於網站首頁或各該限制級網頁,依台灣網站分級推廣基金會規定作標示。 台灣網站分級推廣基金會(TICRF)網站:http://www.ticrf.org.tw
7旬男肝癌又見肺腫瘤 手術難度高達文西手術助切除
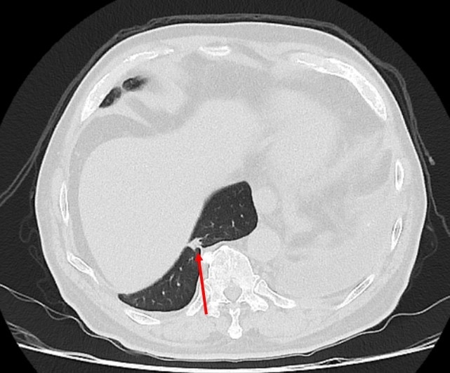
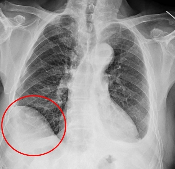
〔記者陳建志/台中報導〕75歲吳先生因肝臟細胞癌接受治療,沒想到又發現右下肺有一顆約1.2公分的腫瘤,因疑似肺癌轉介到胸腔及心臟血管外科,醫療團隊評估後決定進行手術切除,但因患者過去有車禍導致橫隔膜受傷,讓手術預期難度提高,決定採用健保給付的達文西機器人手術執行肺結節切除,順利切除腫瘤,並在術後第3天就出院返家休養。
仁愛長庚合作聯盟醫院胸腔及心臟血管外科主任廖啟耀表示,肺腫瘤手術在台灣十分普及且發達,但部分患者會讓醫師預期手術難度提高,其中以過去有過外傷經歷、曾接受過胸腔手術、肺臟腫瘤接受過放射性治療的病人最為常見,這類患者常見的手術困難度為解剖構造的改變,常因為胸腔發炎反應的影響,讓肺臟與周遭肋膜產生沾黏,同時血管的方向也更難分辨,對執行手術醫師而言是一項困難的挑戰。
廖啟耀指出,患者的橫隔膜如果和肺臟沾黏,手術空間將較為狹小,達文西機器人手術可提供穩定的操作及清晰的手術視野,這對於外科醫師在分沾黏上是如虎添翼,透過穩定且精細的操作,團隊將患者的橫隔膜與肺臟分離,並完成之後的肺節切除手術。
廖啟耀表示,患者因外傷使手術困難度上升,過往使用傳統開胸手術或胸腔鏡手術在類似的病人,常因為分沾黏導致肺破損,需要較長的恢復時間,但是在進行達文西手術的過程中,不只術中沒有發生因為分沾黏常見的出血、肺破損等問題,患者在術後第2天便可拔除胸腔引流管,恢復順利。
廖啟耀強調,達文西手術是微創中的微創手術,可以幫助病人減少許多過往手術常見的問題,對病情複雜且困難的病人更是外科醫師的最佳選擇,不只創造更優秀的醫療環境,也幫助病人獲得更好的治療效果與生活品質。
發燒新聞




網友回應