限制級
您即將進入之新聞內容 需滿18歲 方可瀏覽。
根據「電腦網路內容分級處理辦法」修正條文第六條第三款規定,已於網站首頁或各該限制級網頁,依台灣網站分級推廣基金會規定作標示。 台灣網站分級推廣基金會(TICRF)網站:http://www.ticrf.org.tw
油漆工撞到頭外傷出血 突意識不清引發水腦症
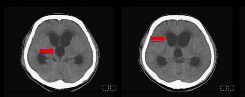
〔記者許麗娟/高雄報導〕48歲油漆工工作不慎撞到頭,導致頭部外傷、顱內出血,就醫後接受保守治療未開刀,但某日突然出現意識不清、嗜睡送到醫院急診,腦部電腦斷層檢查發現腦室腫大為水腦症,經緊急手術引流腦脊髓液,術後已恢復意識、改善行動力,亦已重返工作崗位。
高雄市立民生醫院神經外科主治醫師陳志豪指出,頭部外傷後腦損傷可能有諸多後遺症,其中水腦症較不被民眾了解,其成因是腦脊髓液循環阻塞或吸收異常,導致過多的腦脊髓液蓄積在腦部進而壓迫腦組織,若未及時診斷處理可能造成長期神經功能缺損。
陳志豪說,水腦症的臨床表現有記憶力下降、步態不穩、意識變差、甚至大小便不順暢,若把這些症狀當作是常見的顱腦損傷後遺症,未積極就醫或醫師未警覺,腦部被多餘的腦脊髓液長時間壓迫,可能造成不可逆的神經功能缺損。
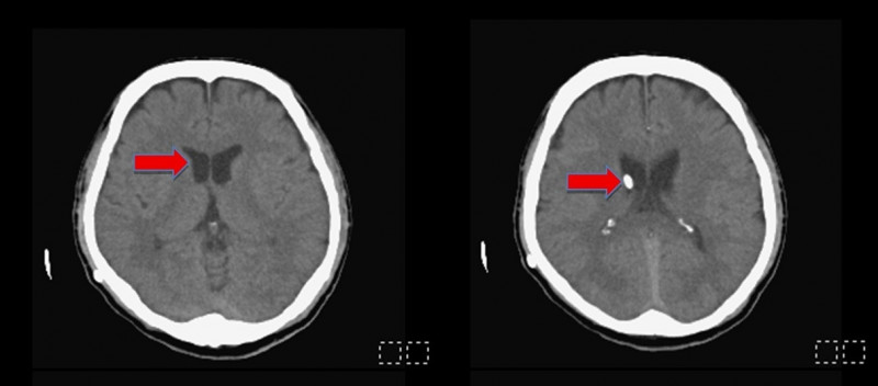
該名油漆工頭部受傷後未手術,採保守治療,家屬因照顧問題送至安養機構入住,因意識不清、嗜睡送來急診時,因腦室明顯腫大,緊急進行「腦室腹腔分流手術」,於腦室置放引流裝置並連接至腹膜腔,將蓄積多餘的腦脊髓液排出,患者病症大幅改善。
陳志豪強調,早期辨識與介入治療是改善預後的關鍵,臨床可透過電腦斷層(CT)或磁振造影(MRI)影像學判斷及病程追蹤來評估是否需進行分流手術。此個案是手術後才恢復清楚意識及記憶,術後半年追蹤,原先腫大的腦室已恢復正常大小,並已恢復如常的生活。
發燒新聞




網友回應