您即將進入之新聞內容 需滿18歲 方可瀏覽。
半邊臉腫 已口腔癌末期!醫:癌前病變就處理 治癒率高
〔記者張聰秋/彰化報導〕怕治療又拖,付出的代價更大!1名60多歲的大貨車司機,長途開車就靠吃檳榔提神,吃了大半輩子的檳榔和抽煙,口腔癌悄悄找上門,卻又怕治療一拖再拖,拖到已經長到臉部外面了,才由新竹來彰化基督教醫院治療,當時腫瘤已經擴散到整個半臉,經接受長達10幾個小時手術治療,再接受半年的化療和電療,病情才獲得控制,目前沒有轉移也無復發。
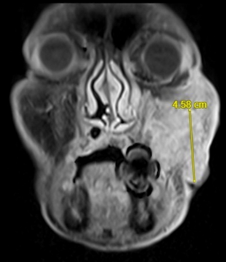
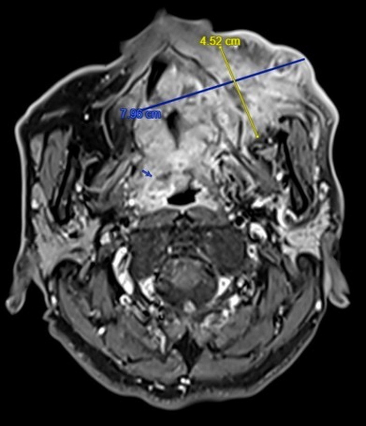
收治這名病患的彰基總院長陳穆寬表示,這名病患手術前的核磁共振顯示已是口腔癌末期(4期),腫瘤已經侵犯口腔、鼻竇及顏面皮膚,範圍已經達8公分,腫瘤範圍大,手術需要進行根治切除(包括半個口腔、鼻竇、及顏面)、頸部淋巴廓清術還有移植重建,手術治療過程耗時,對外觀影響也大。
治療口腔癌早期發現是關鍵,如果能夠決戰於癌前病變,包括口腔白斑、紅斑等,自癒率幾乎百分之百。一、二期手術後也有9成以上可以治癒,1名60多歲的花蓮玉石店老闆,第一時間就接受切片,診斷為口腔癌第一期,他繞過半個台灣到彰基找陳穆寬做手術,開刀只有10幾分鐘,手術後也不用接受放射線治療和化療,現在只要每3個月個月追蹤一次即可。
陳穆寬指出,這兩個案例顯示「時間差」決定了治療方式與預後結果。台灣約9成口腔癌患者為男性,主要與吃檳榔、抽菸有關,早期口腔癌治癒率高達9成以上,只需單純切除即可;晚期則需合併淋巴廓清與重建手術,術後還得進行放射線、化學、標靶或免疫治療。很多患者因為不敢面對現實或者怕治療會失去工作,因此害怕就醫,由癌前病變拖到晚期癌症才治療。不過,只要積極治療,彰基晚期患者的治療成功率仍可達約59.4%。
陳穆寬指出,根據醫學文獻與臨床經驗,口腔癌患者的自殺率僅次於胰臟癌,居第二高,主要原因與中年男性為主、治療過程中外觀改變、影響吞嚥、進食有關,或者因爲失去工作因病而窮。
他建議,善用政府提供每2年1次的口腔黏膜檢查機會,一旦發現異常,不要猶豫或害怕。一、二期治療成功率極高,及早治療不僅能大幅減少對顏面外觀與口腔結構的傷害,幾乎都能恢復至術前幾乎百分百的狀態。
☆自由電子報關心您︰自殺不能解決問題,勇敢求救並非弱者,社會處處有溫暖,一定能度過難關。 安心專線:1925 生命線協談專線:1995。 張老師專線:1980☆
發燒新聞


