限制級
您即將進入之新聞內容 需滿18歲 方可瀏覽。
根據「電腦網路內容分級處理辦法」修正條文第六條第三款規定,已於網站首頁或各該限制級網頁,依台灣網站分級推廣基金會規定作標示。 台灣網站分級推廣基金會(TICRF)網站:http://www.ticrf.org.tw
67歲婦人無痛血尿 竟是罹癌!達文西手術根除病灶留腎臟
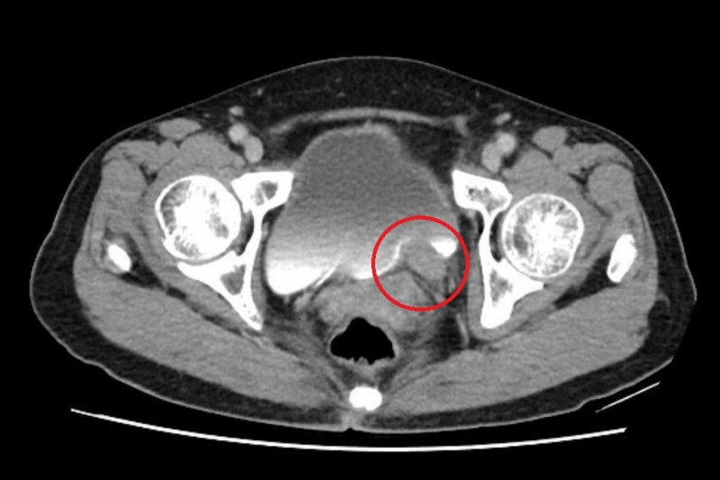
〔記者翁聿煌/新北報導〕67歲林女士近期出現間歇性無痛血尿,原本以為只是小問題,至醫院檢查後,竟發現左側輸尿管末端長了一顆5公分腫瘤,並造成腎水腫情形,確診為輸尿管泌尿上皮癌後,醫師安排化療縮小腫瘤,再利用達文西手術(需自費)切除腫瘤並重建輸尿管,成功保留腎臟功能,林女士術後追蹤至今,病情控制良好。
台北慈濟醫院泌尿科醫師許竣凱指出,根據衛生福利部統計,泌尿上皮癌發生率每10萬人中約有40至50例,臨床上,醫師會以尿液檢驗、膀胱鏡、超音波與電腦斷層進行診斷,排除泌尿道感染、輸尿管結石等會伴隨疼痛的血尿後,就要高度懷疑腫瘤的可能。
許竣凱指出,長期吸菸、處於環境污染及具家族史者都是危險因子,輸尿管泌尿上皮癌症狀並不明顯,常見表現為無痛性血尿,若置之不理,腫瘤可能造成阻塞及腎衰竭、或是逐漸擴散,甚至出現遠端轉移,危及生命。
泌尿上皮癌的治療方式多元,包括手術治療、化學治療、免疫療法及標靶治療等,醫師會視腫瘤期別、位置及腎功能等病況綜合評估,決定是否需要手術或採取其他治療策略。
以手術而言,又有腹腔鏡及達文西手術等選擇,雖然腹腔鏡手術具備傷口小、恢復快的優點,但受限於視野與操作難度,因此目前醫界多以視野清晰、操作靈活的達文西手術為主流。
許竣凱說,達文西手術在三維立體視野下,能精準切除腫瘤,並同步進行輸尿管與膀胱重建,以林奶奶為例,其腫瘤位於下段輸尿管,在化療成效良好的情況下,只需切除病灶,再將膀胱提起與輸尿管相接,完成重建,若經完整切除,病人的五年存活率可達9成,需定期追蹤,降低復發風險。
☆健康新聞不漏接,按讚追蹤粉絲頁。
☆更多重要醫藥新聞訊息,請上自由健康網。
熱門賽事、球星動態不漏接
發燒新聞



網友回應