您即將進入之新聞內容 需滿18歲 方可瀏覽。
比髮絲還細! 電子眼助8成黃斑部病變患者重拾閱讀能力
〔編譯陳成良/綜合報導〕發表於《新英格蘭醫學期刊》的研究顯示,一款厚度僅為人類髮絲一半的電子眼植入物,已成功幫助多名因無法治癒的「乾性」老年性黃斑部病變(AMD)而失明的患者重拾閱讀能力。眼科專家讚譽此成果「卓越非凡」,可能為失明患者開啟「人工視覺的新時代」。
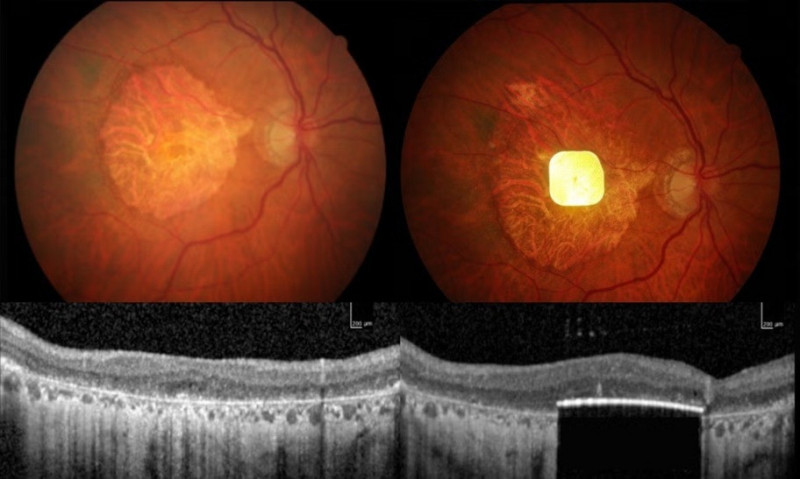
根據《衛報》報導,這項臨床試驗納入38名年長患者,皆患有乾性AMD中最嚴重的「地圖狀萎縮」(geographic atrophy),導致中心視力完全喪失且無有效療法。植入「Prima」裝置後,高達84%的參與者能再次辨識字母、數字與單詞。
倫敦穆爾菲爾茲眼科醫院(Moorfields eye hospital)資深顧問醫師穆奇特(Mahi Muquit)表示:「這在人工視覺歷史上代表一個新時代,失明患者首次能有意義地恢復中心視力。」他指出,重獲閱讀能力不僅改善生活品質,更能提振情緒,幫助患者重拾自信與獨立。
微晶片結合AR眼鏡 將影像轉為大腦訊號
此系統核心是一個僅2毫米見方的超薄微晶片,在不到兩小時手術中植入視網膜中心下方。患者需配戴特製擴增實境(AR)眼鏡,眼鏡裝有攝影機,連接可掛在腰帶上的微型電腦。
當患者注視物體,攝影機捕捉影像,腰帶電腦透過人工智慧處理後,將場景以紅外線光束投射到眼內晶片。晶片啟動後,將光訊號轉為電子訊號,經由視網膜細胞與視神經傳遞至大腦,解讀成視覺影像。
非一蹴可幾 須經密集訓練重學「觀看」
不過穆奇特醫師強調,這項技術並非神奇「開關」,植入晶片後並不能立即重見光明。他說:「你必須重新學習如何使用這種新型態視覺。」患者需接受密集訓練與眼部復健,才能真正發揮此科技潛力。
接受植入手術的患者爾灣女士(Sheila Irvine)分享:「當我開始能看見一個字母時,那種興奮難以言喻。重新學習閱讀並不容易,但投入時間越多,學到就越多。」她的經驗凸顯了患者努力的重要性。
☆健康新聞不漏接,按讚追蹤粉絲頁。
☆更多重要醫藥新聞訊息,請上自由健康網。
熱門賽事、球星動態不漏接
發燒新聞


網友回應