您即將進入之新聞內容 需滿18歲 方可瀏覽。
兒少運動後常腳痛別輕忽 醫:恐是「應力性骨折」警訊!
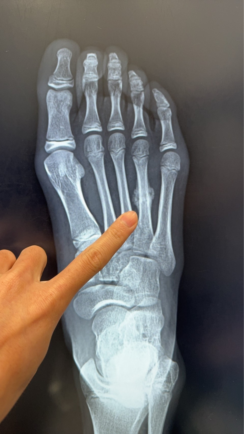
〔記者王俊忠/台南報導〕在寒暑假家長多會鼓勵孩子參與田徑、球類、游泳等活動,培養運動習慣,減少使用3C。但運動帶來健康的同時,也暗藏「過度」的風險。骨科醫師陳建宏指近日診所接獲1名11歲女學童就醫個案,女童因在暑期密集參加田徑與球類訓練,右腳掌疼痛兩週未緩,檢查後確診為「蹠骨應力性骨折」,且已出現癒合跡象。
陳建宏指出,此案例改變大眾對「應力性骨折」僅發生在成人或專業運動員的刻板印象,要特別提醒孩童骨骼仍在發育,過量運動易致骨頭不堪負荷,家長與師長需提高警覺。
陳建宏說明,蹠骨位於腳掌前端,承受人體走路、跑跳時的主要壓力。當骨頭長期反覆承受過大的應力,缺乏足夠休息與修復時間時,就可能出現顯微的骨折,即是所謂「應力性骨折」。
這與一般一次性外力造成的骨折不同,應力性骨折大多是長時間累積而成,初期症狀不明顯,易被誤以為是一般拉傷或扭傷。就像這位11歲女童,在問診時說已經不舒服兩週,本以為只是單純扭到,沒想到卻是骨折了!
陳建宏表示,許多人以為小朋友的骨骼彈性大,不容易骨折。事實上,兒童與青少年的骨骼處於快速成長期,若在短時間內大幅增加運動量,或使用不合適的鞋具、缺乏正確暖身與放鬆,可能導致骨頭「不堪負荷」。11歲女童正是因為暑假每天高強度的運動超負荷,加上休息不足,最終應力性骨折找上身。
應力性骨折臨床症狀多半是「隱隱作痛」,在運動或走路時加劇,休息後稍微緩解,一旦持續忽略,疼痛可能逐漸加重,甚至影響正常行走或是運動表現。小朋友常因不善於表達疼痛,或是擔心教練會以為是在偷懶,就想忍一忍就好,導致延誤就醫。家長若發現孩子在活動後常抱怨腳痛,甚至有局部腫脹或壓痛點,就該提高警覺。
在預防上,陳建宏建議:1.循序漸進:運動量應逐步增加,避免短時間突然大幅度加強訓練:2.合適鞋具:選擇有支撐與避震效果的運動鞋,鞋碼是否合腳(孩童腳部生長快,建議每3-6個月換1次鞋具);3. 保證充分休息:每日訓練後需給予骨骼、肌肉足夠恢復時間,避免連續高強度訓練。
4. 均衡補充營養:攝取足夠的鈣質(如牛奶、豆腐)、維生素D(如蛋黃、深綠色蔬菜或適度曬太陽)與蛋白質(如魚肉、瘦肉);5. 定期專業評估:若孩子參加長期密集訓練(如校隊、夏令營),建議每1-2個月由骨科醫師或物理治療師檢查骨骼與肌肉狀況,及時調整訓練計畫。
☆健康新聞不漏接,按讚追蹤粉絲頁。
☆更多重要醫藥新聞訊息,請上自由健康網。
熱門賽事、球星動態不漏接
發燒新聞





網友回應