限制級
您即將進入之新聞內容 需滿18歲 方可瀏覽。
根據「電腦網路內容分級處理辦法」修正條文第六條第三款規定,已於網站首頁或各該限制級網頁,依台灣網站分級推廣基金會規定作標示。 台灣網站分級推廣基金會(TICRF)網站:http://www.ticrf.org.tw
8旬長輩肝功能異常竟是肝癌 電燒治療去腫瘤保肝臟
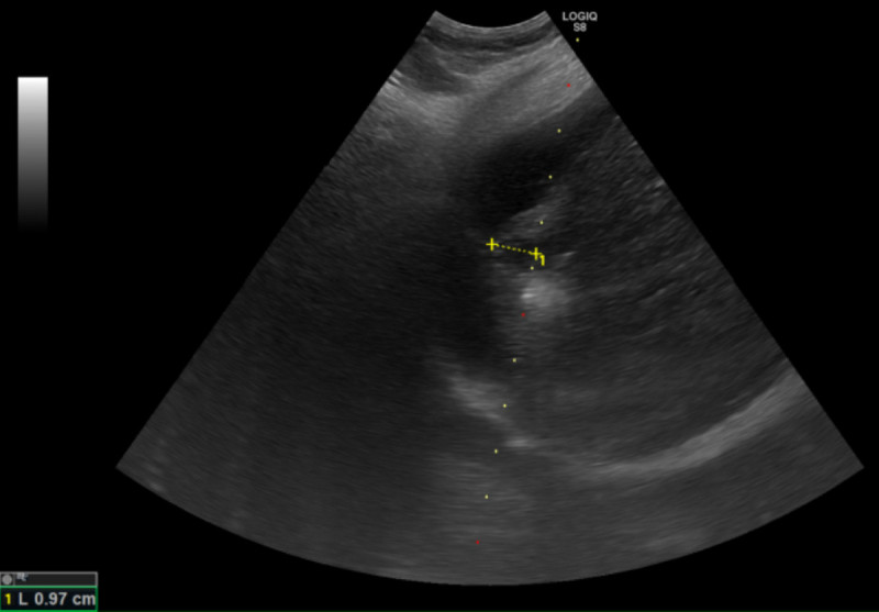
〔記者翁聿煌/新北報導〕83歲黃女士因身體不適到醫院就診,就診過程中發現肝功能異常,進一步檢查發現一顆約1.5公分的肝臟腫瘤,確診為第0期肝癌,同時也發現黃女士患有B型肝炎,卻因沒有症狀所以不曾進行相關治療,即時發現後執行電燒治療,術後3天出院,定期追蹤避免復發。
台北慈濟醫院胃腸肝膽科醫師鄭煜明指出,台灣肝癌的高危險族群主要與B、C型肝炎相關,B型肝炎約佔五成、C型肝炎約四成,其餘則與脂肪肝或酒精肝等有關,雖然隨著疫苗及抗病毒藥物的普及,肝癌整體發生率逐年下降,但一旦感染過B、C型肝炎,就有罹癌風險,且患者年齡層有增加趨勢。
他指出,肝癌初期幾乎沒有症狀,隨病情惡化,若腫瘤壓迫到膽管可能出現黃疸,晚期則多發生轉移,導致肝衰竭、腹水、食慾下降與體重驟減,嚴重影響生活,因此及早發現與治療是重要關鍵。
根據臨床數據,零期肝癌治療後平均存活率超過10年以上,若延誤至第二期則縮短為約5年,第三期降至2.5年,若已轉移,存活時間僅剩半年,在第零期使用電燒治療普遍可根治,不需要化療,已經有遠處轉移才會考慮使用免疫療法及標靶治療。
鄭煜明解釋,電燒治療是透過超音波導引定位,使用電極產生電流,造成離子震動產生超過60度的熱能氣化腫瘤,比起手術能更完整保留健康的肝臟組織,肝癌患者平均5年的復發率高達7成,因此電燒治療對於可能復發,需要多次治療的患者而言更具優勢,且此療法住院時間短,通常3日左右即可出院。
☆健康新聞不漏接,按讚追蹤粉絲頁。
☆更多重要醫藥新聞訊息,請上自由健康網。
熱門賽事、球星動態不漏接
發燒新聞





網友回應