限制級
您即將進入之新聞內容 需滿18歲 方可瀏覽。
根據「電腦網路內容分級處理辦法」修正條文第六條第三款規定,已於網站首頁或各該限制級網頁,依台灣網站分級推廣基金會規定作標示。 台灣網站分級推廣基金會(TICRF)網站:http://www.ticrf.org.tw
沒抽菸也中!5旬男健檢驚見肺腫瘤 「單孔達文西手術」3天出院
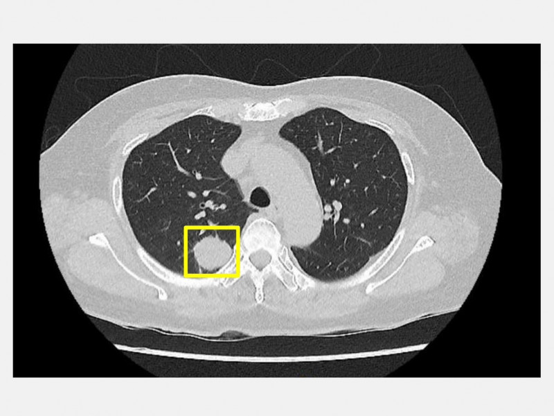
〔記者許國楨/台中報導〕沒抽菸、沒肺癌家族史,怎麼可能?台中市50歲吳先生近日得知右肺長了一顆2公分腫瘤時,難以置信,平日作息規律、自認身體健康的他,只是在例行健康檢查中做了低劑量電腦斷層(LDCT),沒想到這一檢查意外救了命。
吳先生在得知結果後,立刻前往仁愛長庚合作聯盟醫院(大里仁愛醫院)尋求協助,經胸腔暨心臟血管外科醫師林宜右詳細評估後,確診為肺部腫瘤,建議盡快手術切除,且為降低手術創傷與術後疼痛,決定採用目前最先進的「單孔達文西機器人微創手術」(健保給付)進行治療。
林宜右說明,傳統開胸手術往往要在胸壁劃開10多公分大傷口,不僅疼痛劇烈、恢復期長,甚至可能留下明顯疤痕,微創胸腔鏡雖已減輕不適,但仍需多個傷口,而達文西機器人系統結合3D高解析影像與靈巧機械手臂,讓醫師能在放大視野下進行更細膩操作。
林宜右更進一步運用「單孔技術」,僅在患者右側胸壁開約4公分小切口,就能完成整個腫瘤切除,術後出血少、疼痛輕、恢復快,手術過程順利,吳先生術後隔天便能自行下床活動,三天內康復出院。
林宜右指出,「單孔達文西手術」不僅創傷小、疼痛少,還能有效降低感染風險,並保留更多健康肺組織,提升手術安全性與病人預後,他也提醒,肺癌初期幾乎沒有症狀,即使是不菸族,也可能因環境或體質而罹病,建議有吸菸史或家族病史者,應定期接受低劑量電腦斷層篩檢(LDCT),及早發現及早治療,才能守護健康。
☆健康新聞不漏接,按讚追蹤粉絲頁。
☆更多重要醫藥新聞訊息,請上自由健康網。
熱門賽事、球星動態不漏接
發燒新聞





網友回應