限制級
您即將進入之新聞內容 需滿18歲 方可瀏覽。
根據「電腦網路內容分級處理辦法」修正條文第六條第三款規定,已於網站首頁或各該限制級網頁,依台灣網站分級推廣基金會規定作標示。 台灣網站分級推廣基金會(TICRF)網站:http://www.ticrf.org.tw
6旬男7cm胸腺瘤 動達文西手術僅3cm傷口
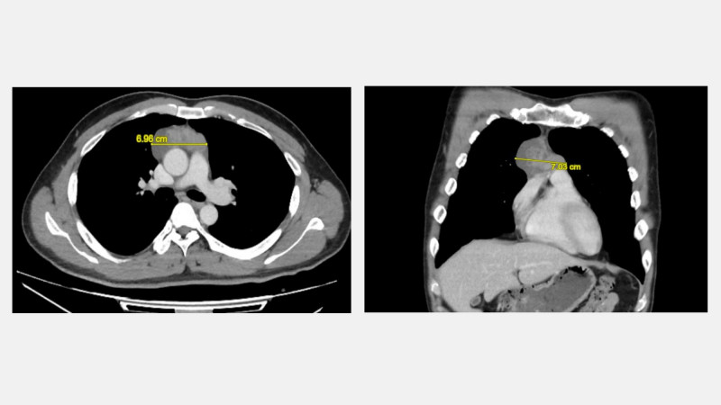
〔記者陳建志/台中報導〕68歲陳先生日前接受國民健康署補助的低劑量胸部電腦斷層掃描,意外發現縱膈腔內有一顆約7公分的腫瘤,雖未出現任何胸悶、咳嗽等症狀,但醫師研判可能是胸腺瘤,若不及時處理,恐會壓迫心臟、氣管或其他器官,胸腔及心臟血管外科醫師決定以健保給付的達文西機器人手術系統精準切除胸腺瘤,讓他順利康復,重拾健康生活。
仁愛長庚合作聯盟醫院胸腔及心臟血管外科主任廖啟耀表示,胸腺位於胸骨後方、心臟前方,周圍環繞著多條重要血管與神經,傳統手術通常需要大範圍開胸,傷口大小約為20-30公分,這對病人來說是相當大的負擔。這次手術採用第四代達文西機器人手術系統,僅需3處微小切口即可完成,最大傷口3公分。這套系統的機械手臂具有高靈活性,並提供放大3D視野,使得醫師能夠在不傷及周圍重要組織的情況下,精準地剝離並完整切除腫瘤,患者在術後第2天就能出院。
廖啟耀指出,胸腺瘤雖然多為良性,但若不處理可能會逐漸長大,壓迫周邊器官。根據文獻顯示約30%的胸腺瘤可能與自體免疫疾病(如重症肌無力)有關,呼籲大家應定期進行健康檢查,凡是符合政府肺癌篩檢補助計畫資格的民眾,要把握機會接受檢查,及時揪出病灶維護健康。
廖啟耀強調,透過此病例可提醒民眾早期篩檢的重要性,除展現微創科技應用成果,也證實國民健康署推動的LDCT肺癌篩檢計畫,不僅能有效偵測早期肺癌,亦有助於發現其他潛藏的無聲病變,反映微創醫療和篩檢政策相輔相成的優勢。隨著醫療技術進步,達文西機器人手術系統將在未來醫療中發揮更大的作用,幫助病人獲得更好的治療效果與生活品質。
發燒新聞


