您即將進入之新聞內容 需滿18歲 方可瀏覽。
肺部白影非肺炎 蛋白質沉積症作祟 洗肺找回健康
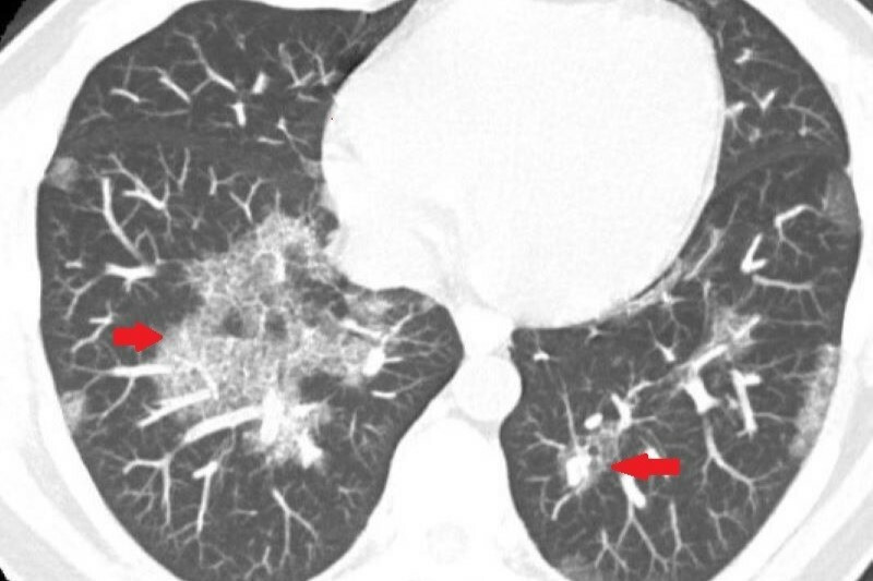
〔記者賴筱桐/新北報導〕40歲魏先生體格健壯,從事搬運工作多年,體能不輸年輕人,然而近2年來逐漸感覺力不從心,肺活量明顯下降,時常出現間歇性暈眩,數次搬運重物時,胸口像是被壓住般喘不過氣。近期他出現背部劇烈疼痛,就醫檢查發現肺部有大片白影,原以為是慢性肺炎,未料3個月後惡化,進行肺部切片確認是罕見的肺部蛋白質沉積症,經過俗稱「洗肺」的「全肺灌洗術」治療,終於找回健康。
醫療團隊從電腦斷層初判魏先生為肺部慢性發炎,但透過支氣管鏡檢查顯示,氣道清晰無異常,細菌與黴菌等培養檢查也呈現陰性,病因成謎,只能密切追蹤病況,3個月後發現患者雙肺白影惡化,最後進行肺部穿刺切片,確診為極罕見的肺部蛋白質沉積症。
台北慈濟醫院胸腔內科主任藍冑進指出,肺部蛋白質沉積症是一種肺泡內充滿蛋白樣物質,嚴重阻礙氧氣交換的罕見疾病。根據國外研究統計,發生率僅100萬分之1,目前醫學對於病因仍未釐清,推測與自體免疫系統異常有關。
他表示,人在正常情況下,肺部會分泌表面張力素等蛋白質,協助肺泡維持張開、促進氣體交換,但當蛋白質異常累積,且無法被自然代謝清除,就會堵塞肺泡,導致缺氧、呼吸困難,嚴重時可能危及生命。此疾病早期常無明顯症狀,容易與肺炎、肺纖維化等疾病混淆,導致誤診與治療延誤。
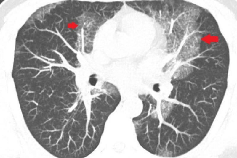
對此,藍冑進召集內、外科醫師、麻醉科團隊、呼吸治療師與檢查室團隊,執行「全肺灌洗術」(俗稱洗肺)的治療計畫,清除病人肺部堆積的蛋白質,手術過程順利,魏先生術後第3天康復出院,重拾健康與生活品質。他說,胸口重重的感覺已經好幾年,很久沒有這麼輕鬆了,原本以為只是工作勞累,沒想到背後竟藏著嚴重又少見的疾病。
藍冑進說明,洗肺需在全身麻醉下進行,使用雙腔氣管內管分隔雙側肺臟,維持一側肺臟正常通氣,由醫師對另一側肺進行灌洗,臨床上通常先清洗結構較單純的左肺,視患者恢復情況,數週後再灌洗右肺。醫療團隊使用約10公升的溫熱生理食鹽水,重複灌注並抽出,徹底清除沉積於肺泡內的蛋白質物質,在設備先進的複合式手術室進行,搭配即時X光影像輔助,精準掌握灌洗範圍與清除成效,幾乎不會留下長期後遺症。
發燒新聞



