您即將進入之新聞內容 需滿18歲 方可瀏覽。
老菸槍有高血壓 又愛吃炸豬排!送貨途中腦幹出血險喪命
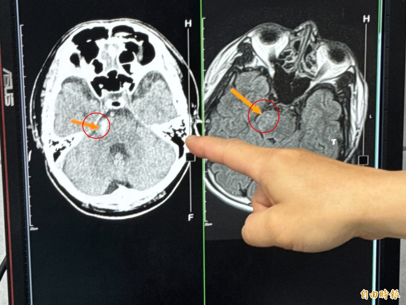
〔記者張軒哲/台中報導〕台中市一名40多歲男子,日前開車上班途中,突然感到身體不適,手腳逐漸麻木沒力氣,馬上停車自行叫救護車,送到大甲李綜合醫院急診室時,經過檢查發現竟是腦幹出血,醫師說,腦幹出血致死率極高,但患者非常幸運,搶在黃金期救治,逐漸康復後還能行動自如,是很罕見的個案。
男子當天送貨到台中大安區給客戶,結束後開車行經西濱公路,身體開始不舒服,原本以為是上午沒吃早餐,想要在車上休息,但身體愈來愈不舒服,而且手腳沒力氣,自行叫救護車,檢查後得知是腦出血。
大甲李綜合醫院副院長、神經外科主治醫師李偉裕表示,患者開車開到一半,自述突然肢體無力、頭痛、頭暈、冒冷汗,送到急診室時意識還清楚,檢查後發現是腦幹出血,馬上轉入加護病房,由於出血量不多,先針對血壓、腦水腫、腦壓進行藥物控制與治療,避免後續可能有腦血管再爆裂。
「腦幹出血10位患者有9位會致死,剩下一位恐就是植物人或重殘癱瘓。」李偉裕說,該患者住加護病房期間,擔心恐怕會有「腦血管未爆彈」,用核磁共振血管攝影進一步檢查,還好沒有發現有其他的動脈瘤,不過,因為腦幹出血幾乎沒有事前徵兆,因此,建議患者在出院後應該要定期追蹤檢查,也要避免自己給自己的壓力過大,更要注意控制血壓。
男子透露,自己擔任貨運司機,工作至少近16年,煙癮逾20年,由於開車要提振精神,經常一天就抽30支菸,好幾次開車途中精神不濟偶爾不小心打瞌睡,差點就撞車,但驚醒後精神就來了,公司其實都有固定幫員工體檢,上個月也才收到體檢報告,看到自己有血壓高也不以為意,其他紅字也覺得沒關係,飲食也沒有做調整,小孩喜歡吃炸豬排,便陪著對方吃,沒想到卻導致自己腦幹出血。
李偉裕指出,腦幹是人體重要的生命中樞,萬一腦幹部位發生血管破裂,死亡率和致殘率都很高,除了外傷、受到撞擊、腦血管畸形外,罹患高血壓是主要的發生原因,因此,建議民眾要控制血壓也避免壓力過大,定期健檢了解身體異常,才能遠離疾病。
☆自由電子報關心您,吸菸有害健康☆
發燒新聞



網友回應